Fracture médiodiaphysaire du fémur (1)
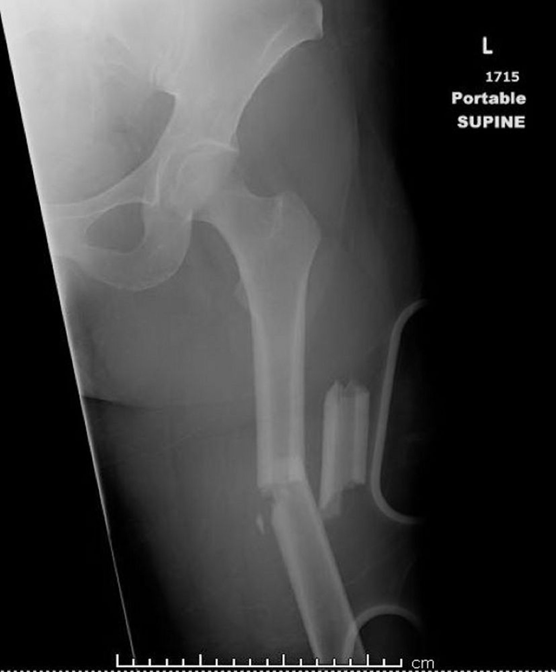
Cette image montre une fracture fémorale mi-diaphysaire comminutive, angulée et raccourcie.
Image courtoisie de Danielle Campagne, MD.
Cette image montre une fracture fémorale mi-diaphysaire comminutive, angulée et raccourcie.
Image courtoisie de Danielle Campagne, MD.