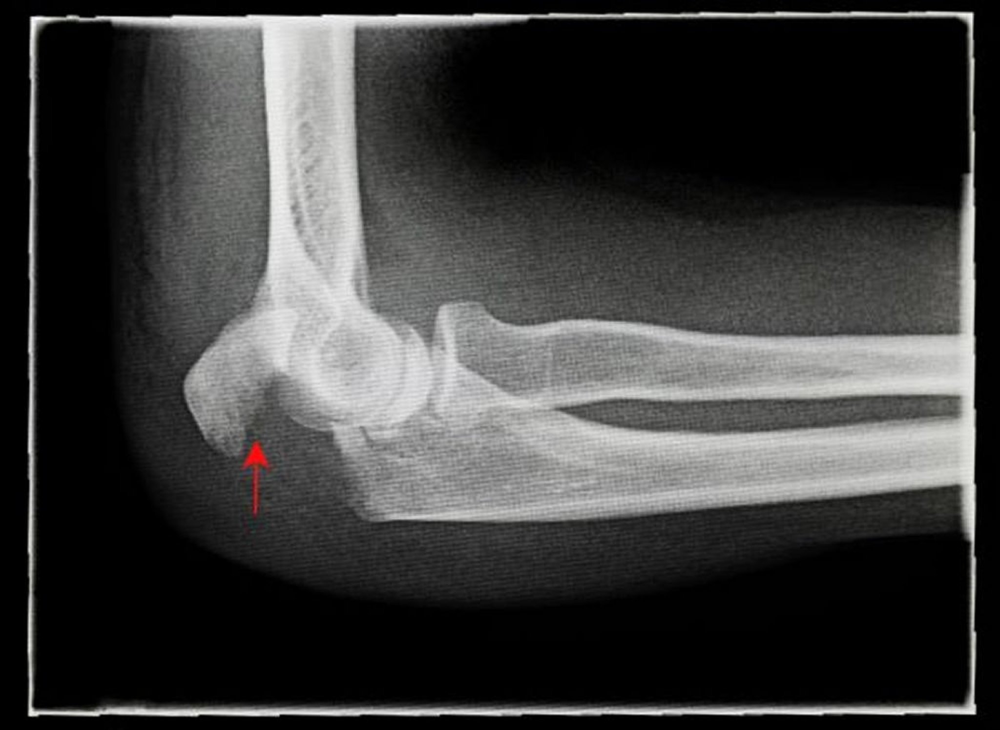
Fracture de l'olécrane
Cette radiographie de profil montre une fracture de l'olécrane déplacée (flèche).
Credit line: ANTONIA REEVE/SCIENCE PHOTO LIBRARY
Dans ces sujets
Cette radiographie de profil montre une fracture de l'olécrane déplacée (flèche).
Credit line: ANTONIA REEVE/SCIENCE PHOTO LIBRARY