Epine calcanéenne
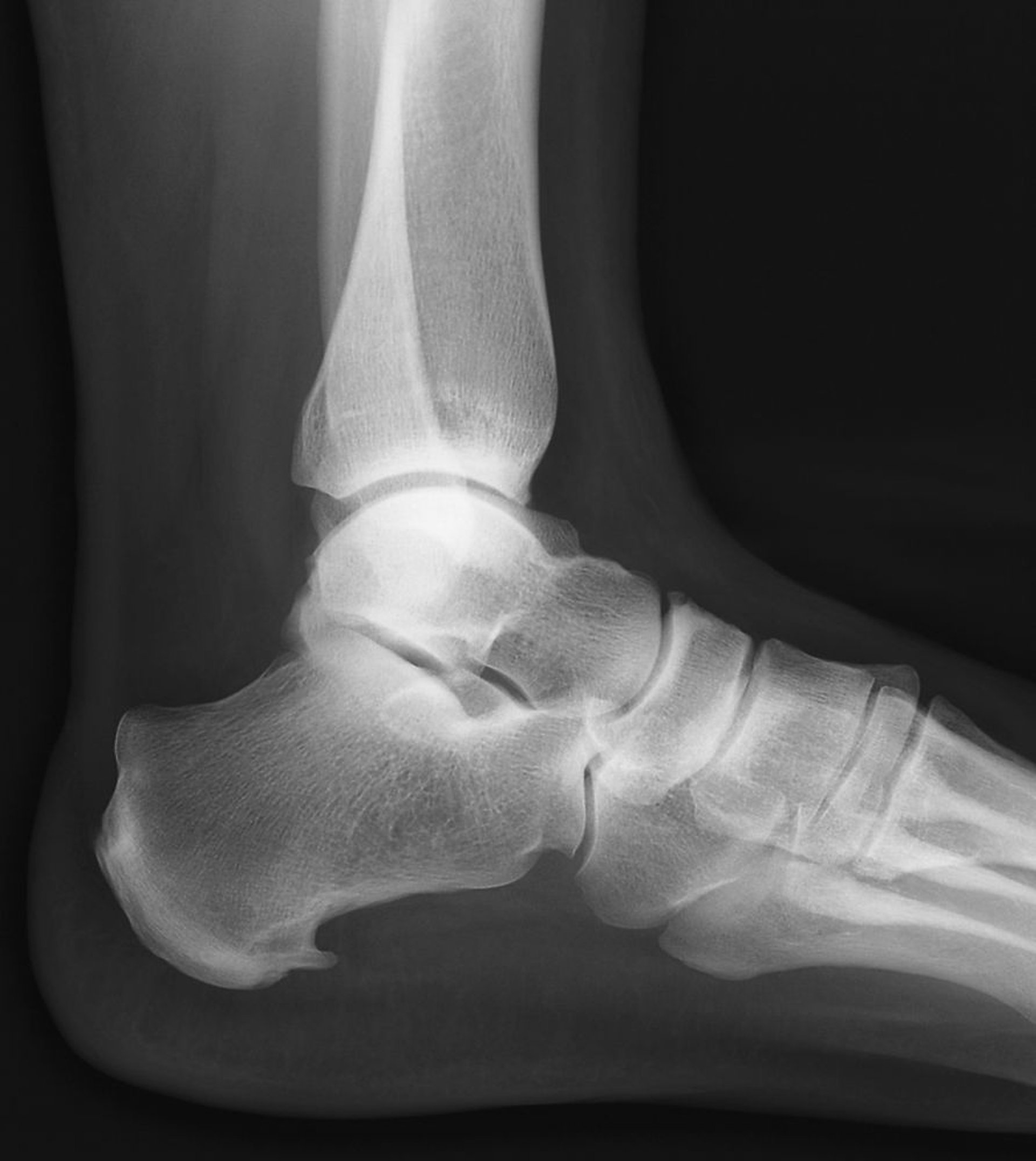
L'épine calcanéenne est une exostose osseuse qui s'étend vers l'avant en bas du calcanéum.
ZEPHYR/SCIENCE PHOTO LIBRARY
Dans ces sujets
L'épine calcanéenne est une exostose osseuse qui s'étend vers l'avant en bas du calcanéum.
ZEPHYR/SCIENCE PHOTO LIBRARY