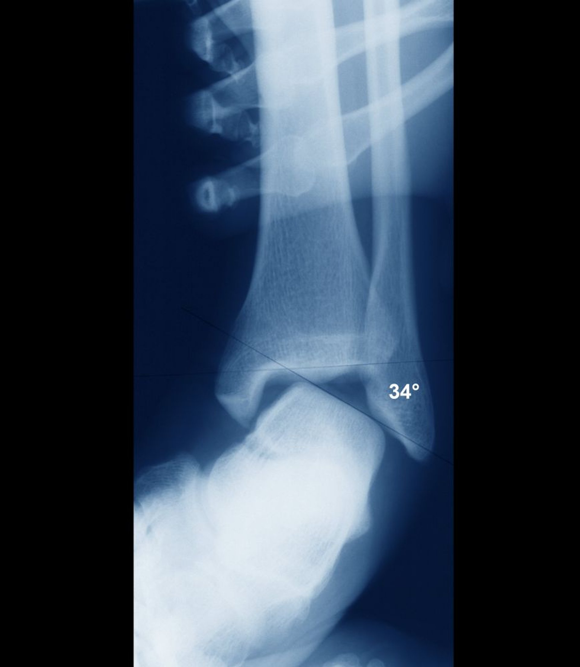
Entorse de la cheville avec instabilité
Si la cheville est stable, les surfaces intra-articulaires de l'astragale et du tibia doivent être parallèles. Ici, elles sont largement désalignées, ce qui indique une instabilité articulaire importante. L'instabilité aurait été clairement évidente cliniquement et l'instabilité est habituellement évaluée cliniquement sans besoin de radiographies.
ZEPHYR/SCIENCE PHOTO LIBRARY
Dans ces sujets
