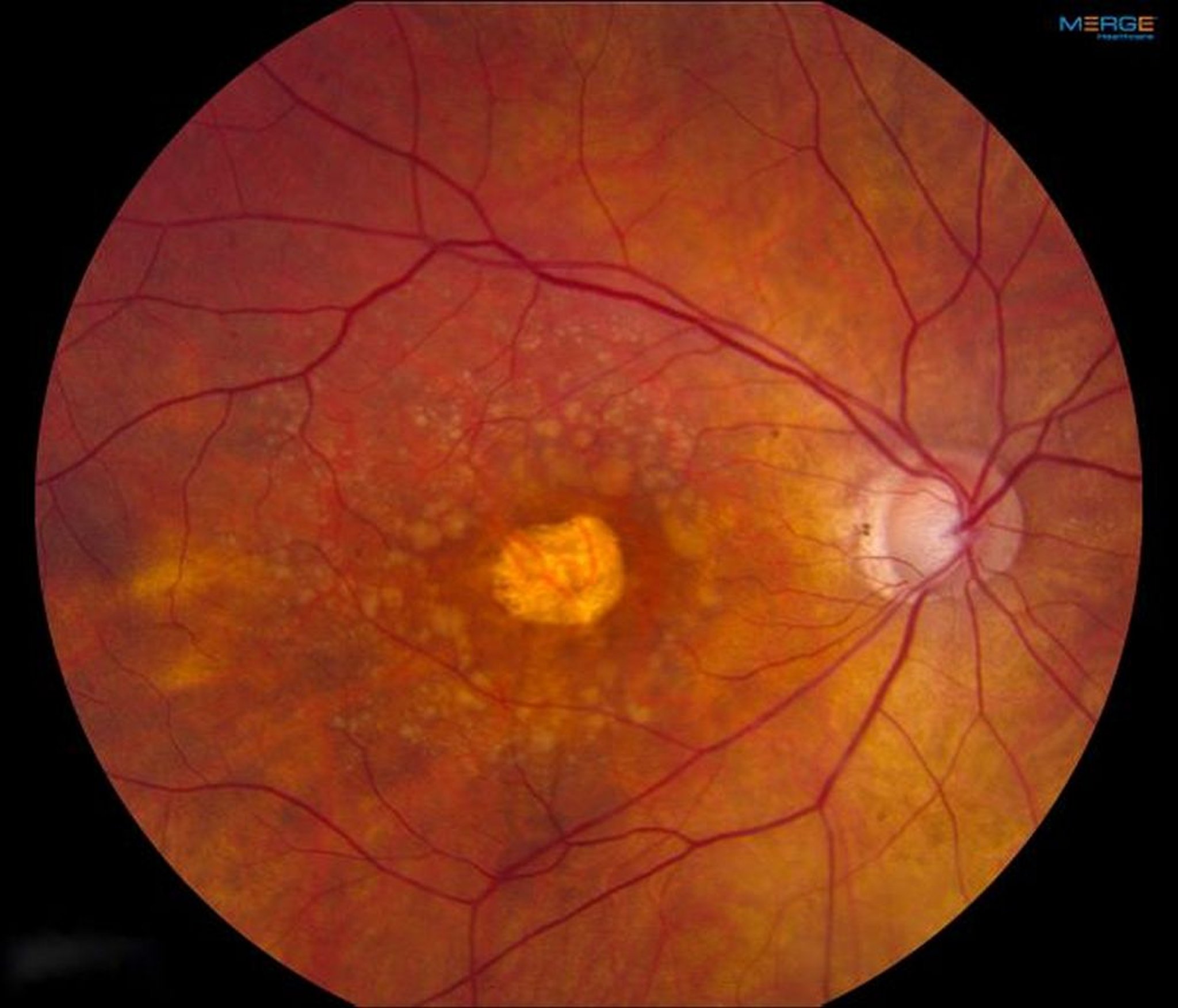
Dégénérescence maculaire liée à l'âge (sèche, avancée)
Au fil du temps, certains yeux développent une atrophie centrale de l'épithélium pigmentaire et des photorécepteurs rétiniens. Cela peut entraîner une perte de vision centrale importante, caractéristique de la DMLA avancée.
Image fournie par Sunir Garg, MD.
Dans ces sujets
