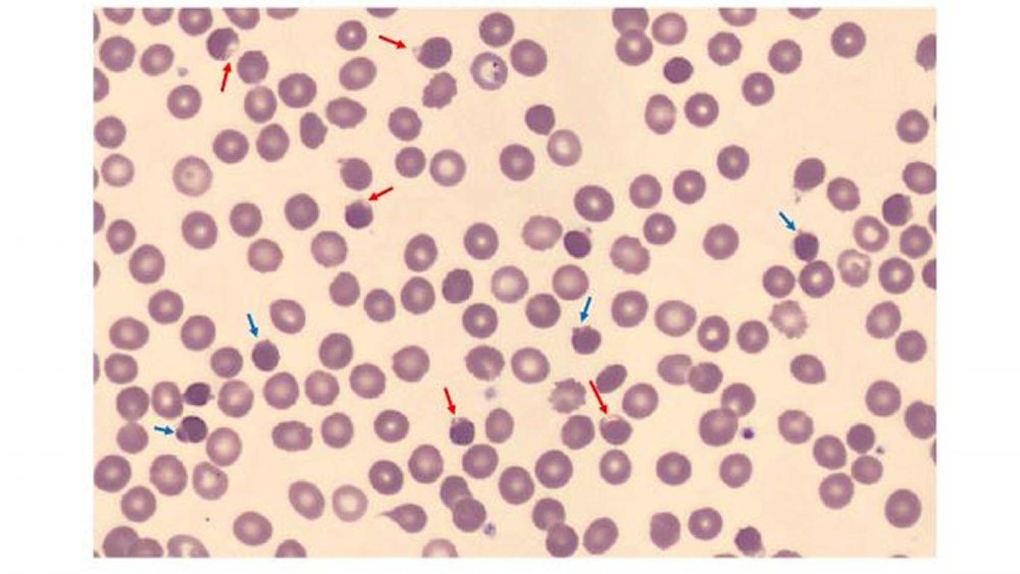
Déficit héréditaire en G6PD érythrocytaire
Le frottis sanguin provient d'un homme de 37 ans présentant un déficit héréditaire en G6PD. Il montre de nombreuses bulles (flèches rouges) dues à la précipitation de l'hémoglobine lésée dans les cellules. Il montre également des sphérocytes (flèches bleues) avec des lésions membranaires dues à la liaison par l'hémoglobine oxydée.
Image courtoisie de Jerry L. Spivak, MD.
Dans ces sujets
