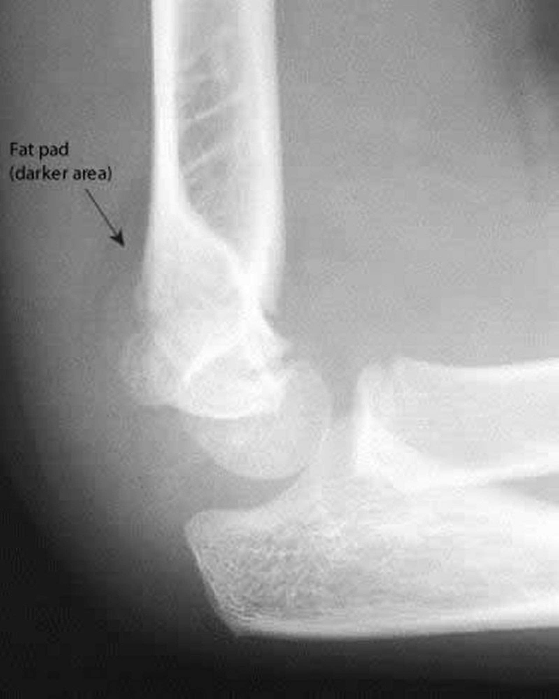
Coussinet adipeux postérieur
Un coussinet adipeux postérieur est toujours anormal. Également sur cette radiographie, la ligne humérale antérieure ne coupe pas le milieu du capitellum (condyle de l'humérus).
Image courtoisie de Danielle Campagne, MD.
Dans ces sujets
