Collection nécrosante aiguë
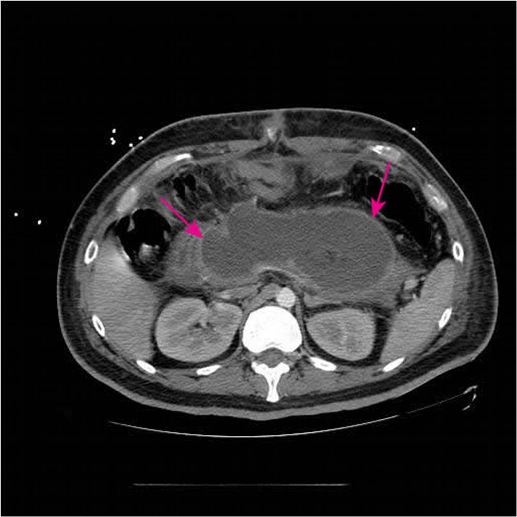
Cette TDM avec contraste IV et oral montre une grande collection nécrosante aiguë (flèches) remplaçant la majeure partie du tissu pancréatique < 4 semaines après la présentation initiale d'une pancréatite nécrosante.
Image courtesy of Sonam Rosberger, MD.
Dans ces sujets
