Charbon (anthrax) (inhalation)
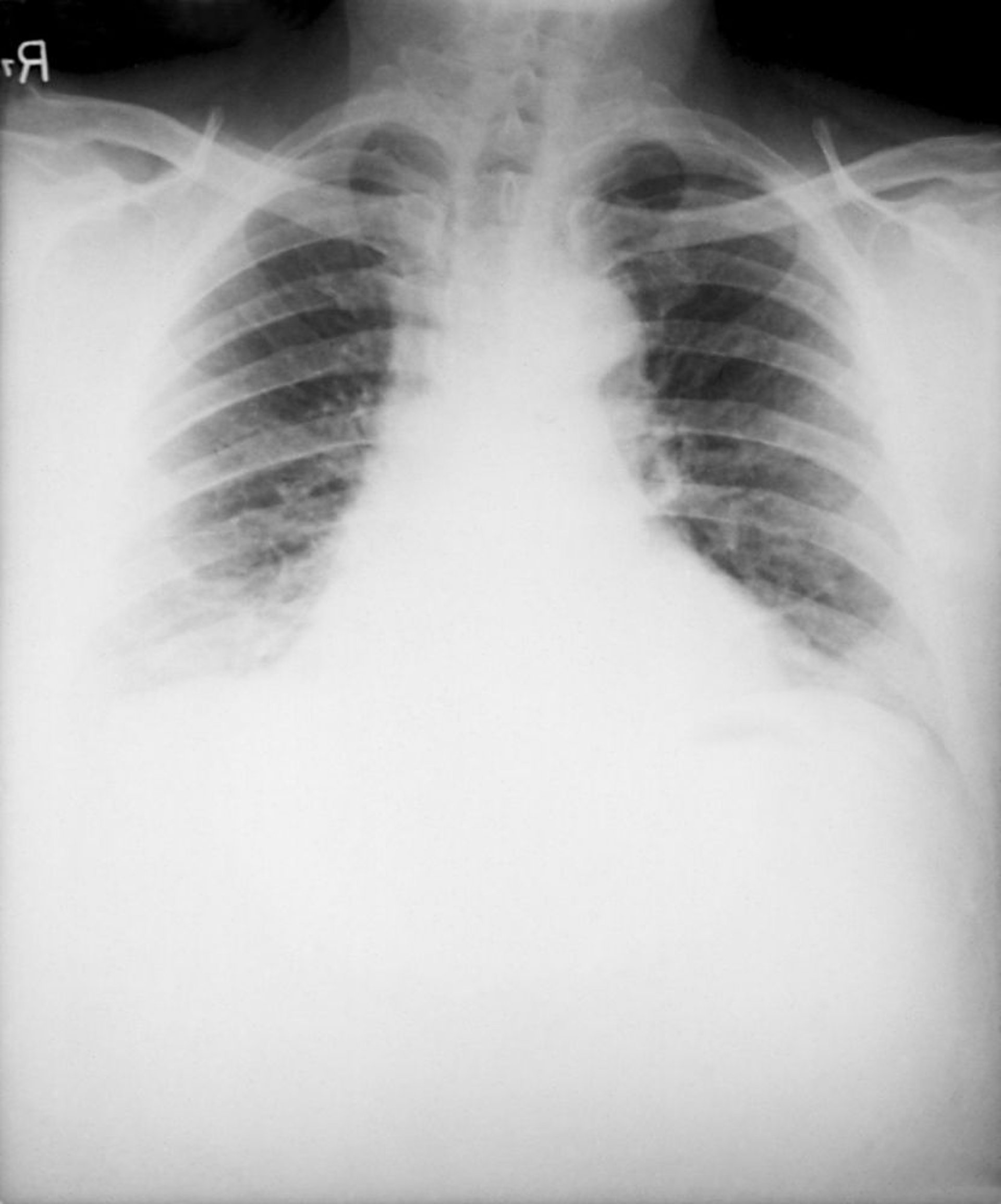
Les signes typiques du charbon (anthrax) par inhalation sur la radiographie thoracique comprennent un médiastin élargi dû à une lymphadénite médiastinale nécrosante hémorragique et des épanchements pleuraux bilatéraux. Les infiltrats pulmonaires sont peu fréquents.
Image courtoisie de the Public Health Image Library of the Centers for Disease Control and Prevention.
Dans ces sujets
