Bronchopneumopathies chroniques obstructives (BPCO) avec bulles
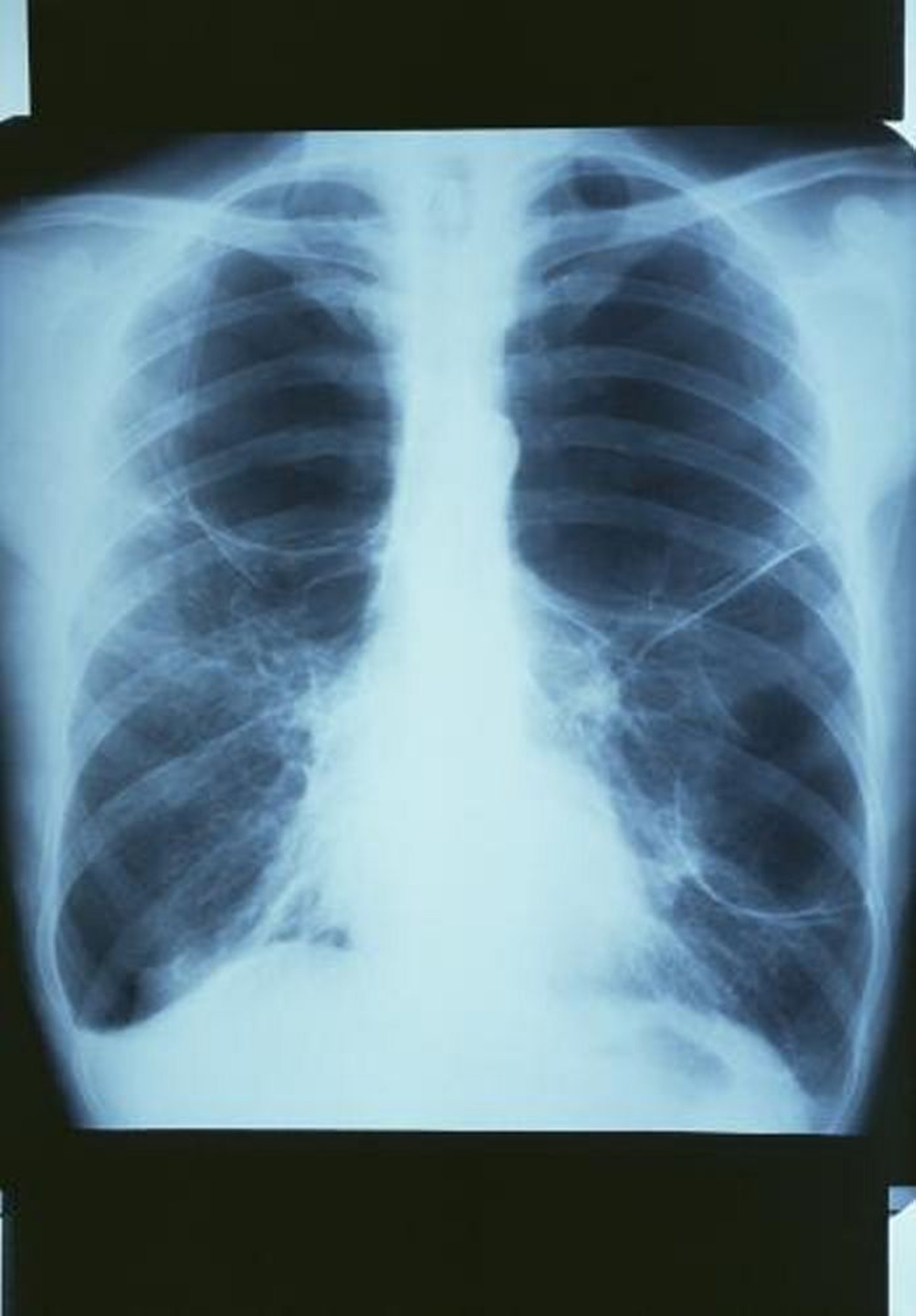
Cette radiographie thoracique montre une grande bulle dans le poumon supérieur droit et 2 grandes bulles dans le poumon gauche.
GJLP/CNRI/SCIENCE PHOTO LIBRARY
Dans ces sujets
Cette radiographie thoracique montre une grande bulle dans le poumon supérieur droit et 2 grandes bulles dans le poumon gauche.
GJLP/CNRI/SCIENCE PHOTO LIBRARY