Bronchectasie (tomodensitométrie)
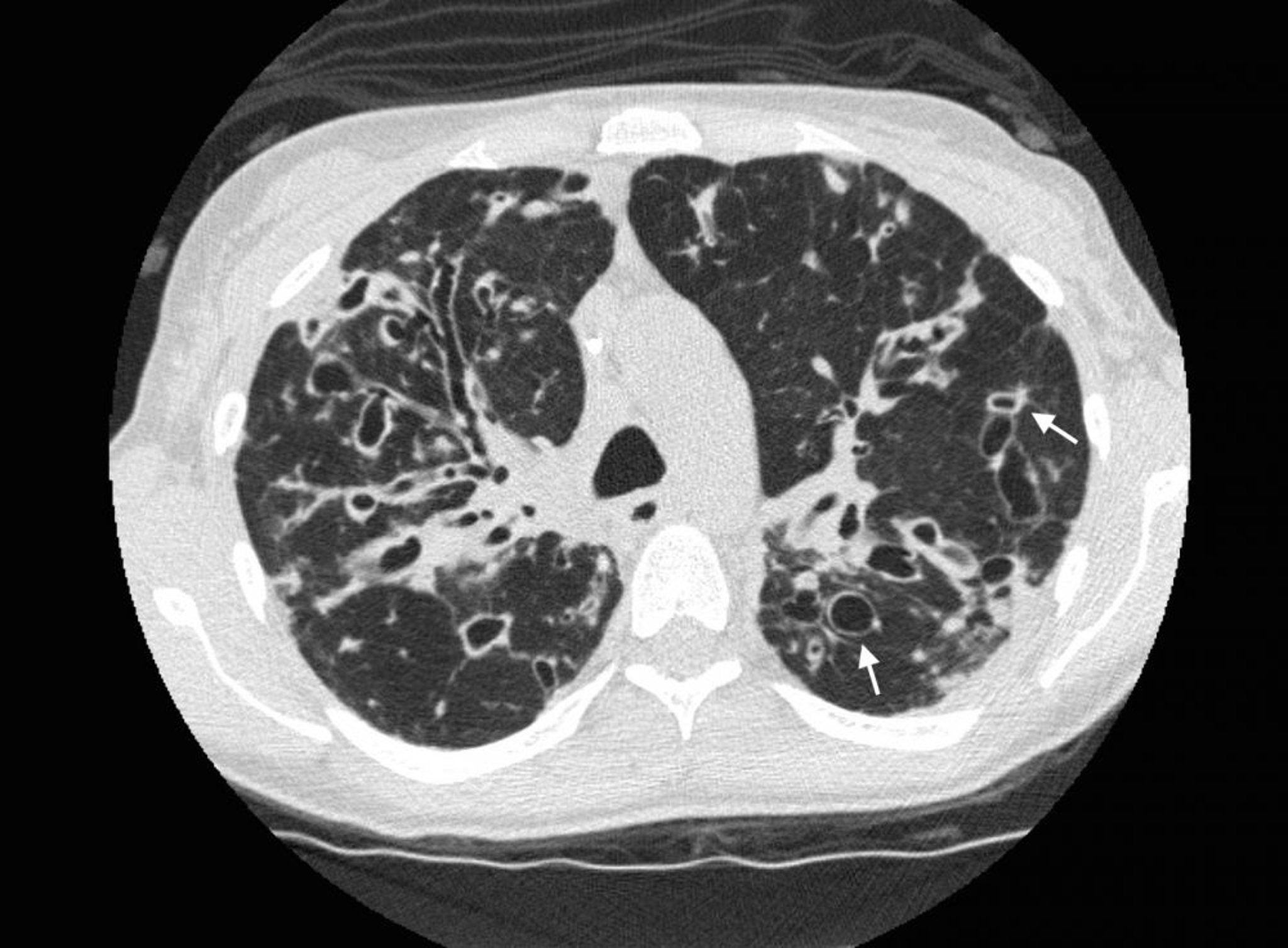
Une TDM du thorax chez un patient atteint de mucoviscidose montre une bronchectasie sévère dans les zones pulmonaires supérieures avec dilatation des voies respiratoires et anomalies kystiques. Les flèches montrent le signe de la chevalière, où une voie respiratoire dilatée (l'anneau) est adjacente à une artère plus petite (le sommet de l'anneau). Normalement, les voies respiratoires ont la même taille que les artères adjacentes ou sont plus petites que celles-ci.
Photo courtesy of Başak Çoruh, MD.
Dans ces sujets
