Adénocarcinome de l'œsophage
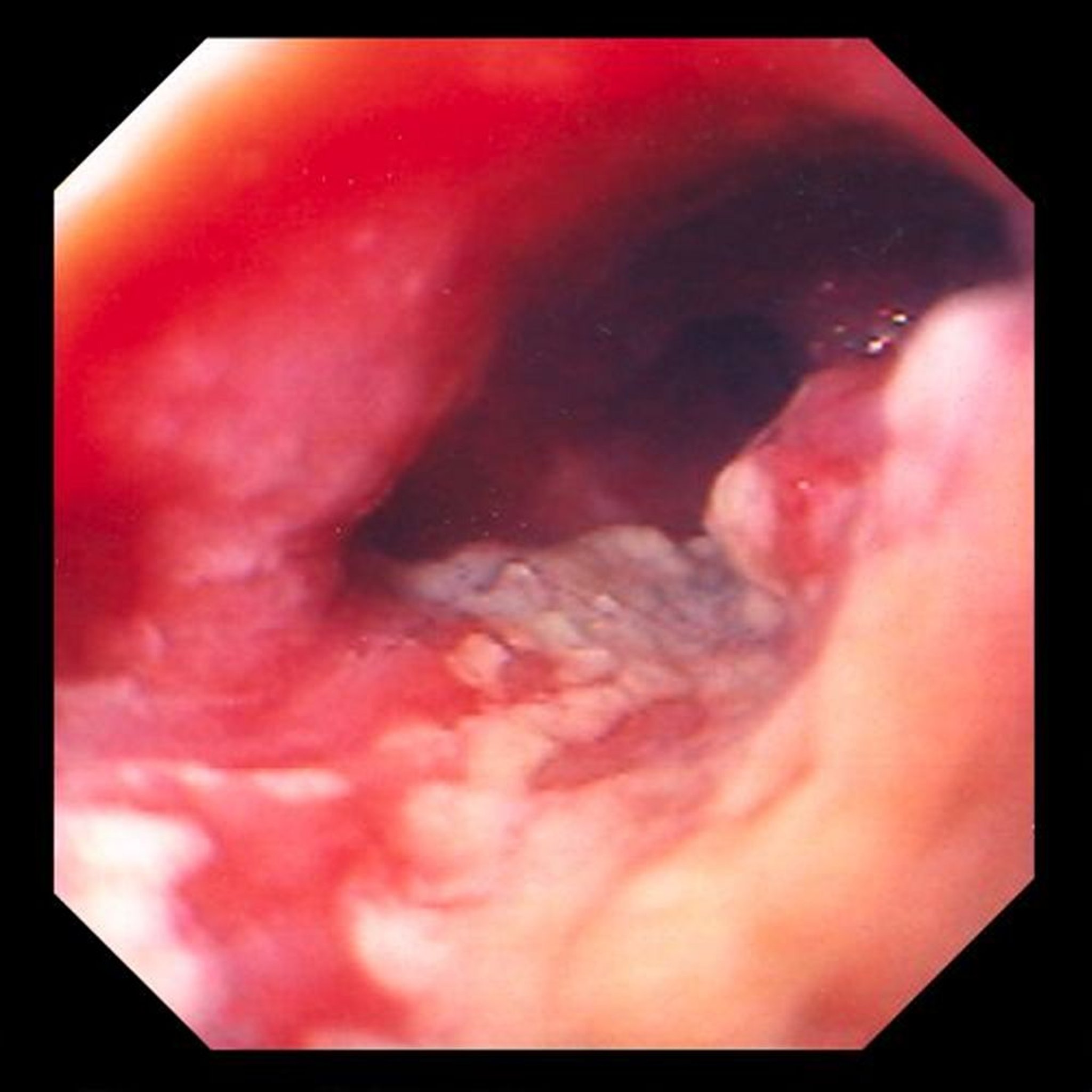
Cette image montre une tumeur ulcérée, constrictive située dans l'œsophage distal, très évocatrice d'un adénocarcinome résultant de modifications métaplasiques (épithélium colonnaire) (œsophage de Barrett).
Image provided by David M. Martin, MD.
Dans ces sujets
