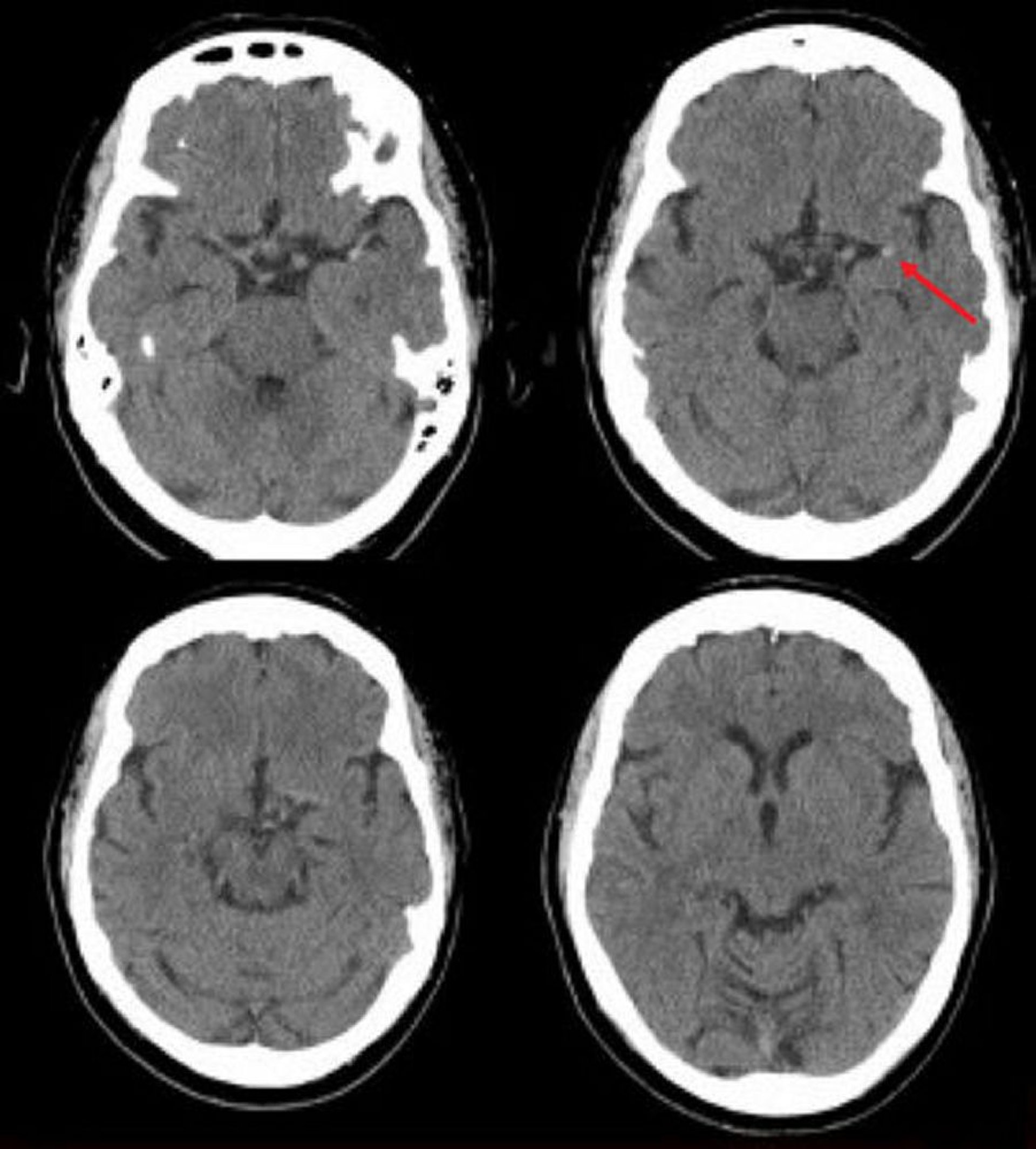
Accident vasculaire cérébral ischémique de l'artère cérébrale moyenne gauche (TDM)
Cette TDM de la tête sans contraste montre une artère cérébrale moyenne gauche hyperdense. Ce signe indique un caillot focal dans l'artère cérébrale moyenne gauche (flèche).
Image courtoisie de Ji Y. Chong, MD.
