Abcès pulmonaire (radiographie)
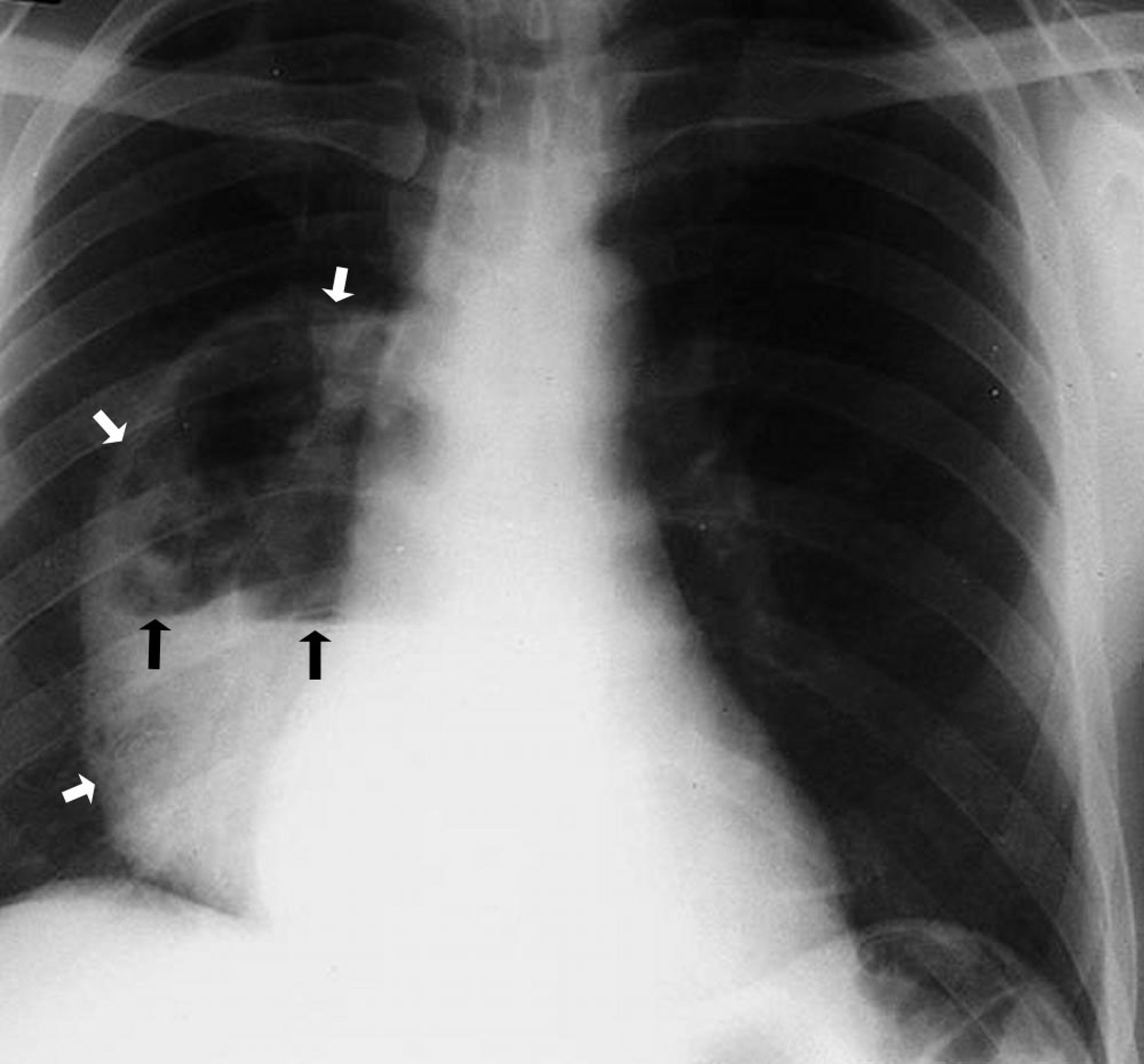
Cette photo montre un grand abcès du lobe inférieur droit montrant une cavité qui contient un niveau hydro-aérique. Les flèches blanches pointent la limite de l’abcès, montrant les parois séparées du parenchyme pulmonaire. Les flèches noires délimitent le niveau où l’air au-dessus et le liquide en dessous se rencontrent.
By permission of the publisher. D'après Leaf H. In Atlas of Infectious Diseases: Pleuropulmonary and Bronchial Infections. Edited by GL Mandell (series editor) and MS Simberkoff. Philadelphia, Current Medicine, 1996.
Dans ces sujets
