Abcès pulmonaire (TDM)
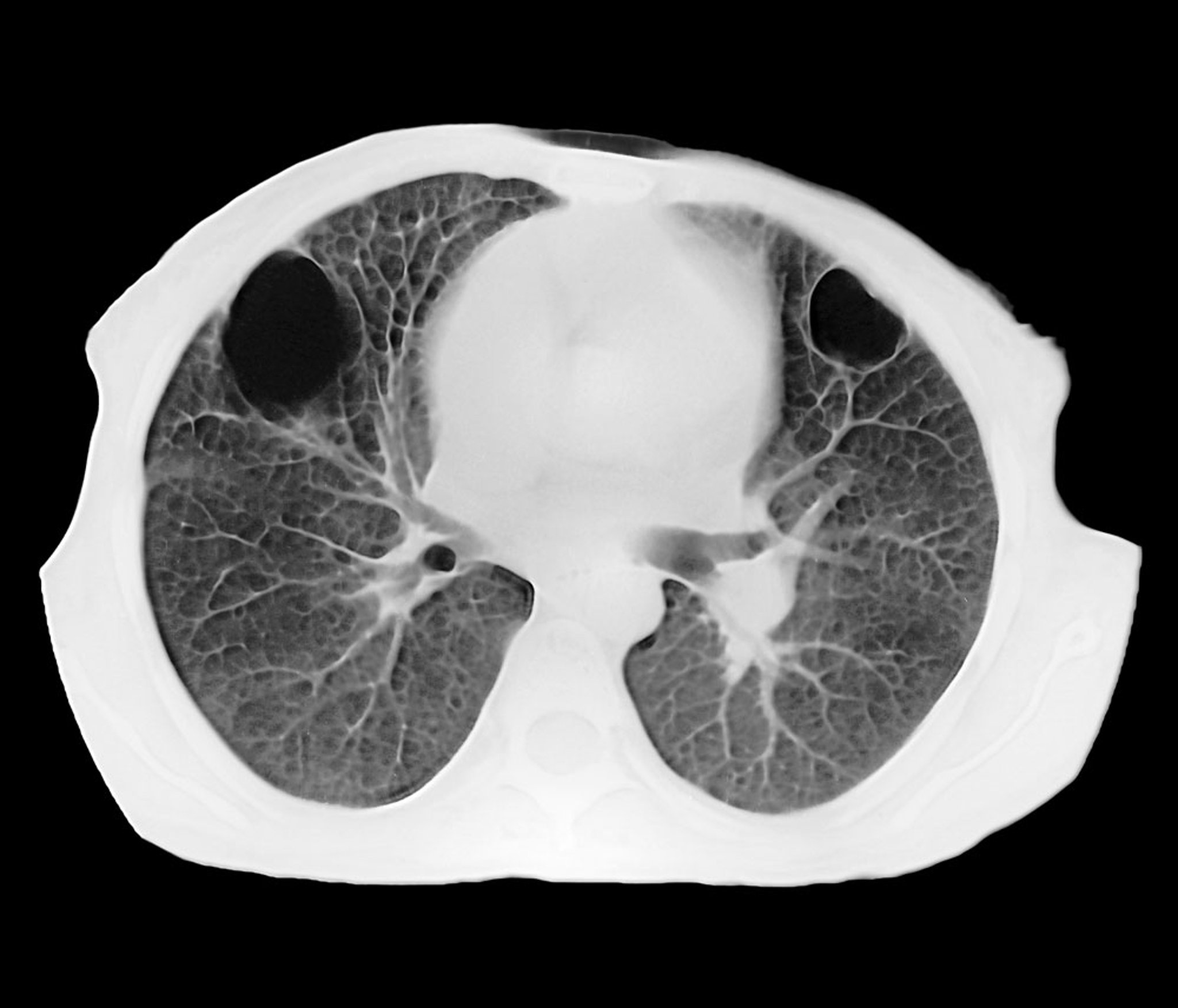
Cette tomodensitométrie axiale montre deux abcès pulmonaires parenchymateux bien circonscrits dans les lobes antérieurs droit et gauche. L’intérieur noir correspond à une accumulation de pus.
ZEPHYR/SCIENCE PHOTO LIBRARY
Dans ces sujets
