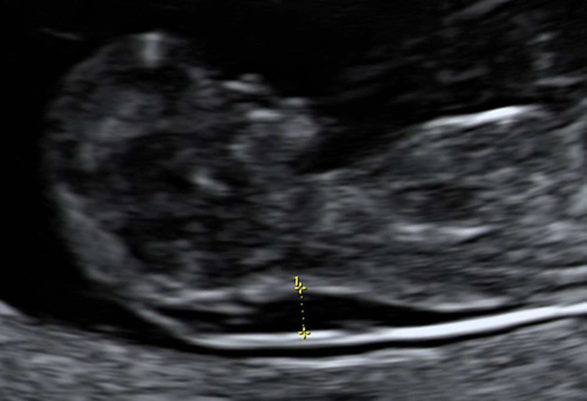
Échographie montrant une clarté nucale augmentée chez un fœtus à 10 semaines
Un prélèvement de villosités choriales a montré que ce fœtus avait un syndrome de Down.
Photo d'après Jeffrey S. Dungan, MD.
Dans ces sujets
Un prélèvement de villosités choriales a montré que ce fœtus avait un syndrome de Down.
Photo d'après Jeffrey S. Dungan, MD.