La méningo-encéphalite amibienne primitive est une infection aiguë rare du système nerveux central, généralement fatale, provoquée par l'amibe libre Naegleria fowleri. Les symptômes comprennent des anomalies neurologiques et généralement une progression rapide vers la mort. Le diagnostic repose principalement sur l'analyse du liquide céphalorachidien. Le traitement fait appel à la miltéfosine et à d'autres médicaments.
Naegleria fowleri vit dans le sol et les plans d'eau douce et tièdes partout dans le monde; il ne vit pas dans l'eau salée. N. fowleri peut également vivre dans les sources chaudes, dans l'eau chaude rejetée par les industries, ou dans les piscines mal entretenues qui n'ont qu'une chloration minimale ou nulle. Il peut même croître dans les chauffe-eau à des températures allant jusqu'à 46° C et survivre pendant de courtes périodes à des températures plus élevées.
Aux États-Unis, la majorité des infections sont survenues dans les états du sud après exposition à de l'eau douce chaude dans les lacs et rivières en été (1).
Nager dans des eaux contaminées entraîne une exposition de la muqueuse nasale à ce microrganisme, qui peut pénétrer dans le système nerveux central via le neuroépithélium olfactif et la lame criblée de l'ethmoïde. La plupart des patients sont des enfants ou de jeunes adultes en bonne santé.
Référence générale
1. Centers for Disease Control and Prevention (CDC). About Naegleria fowleri Infections. Accessed March 24, 2025.
Physiopathologie de la méningo-encéphalite amibienne primitive
Le cycle évolutif de N. fowleri comprend 3 étapes: les kystes, les trophozoïtes (la forme infectieuse) et les flagellés.
Les trophozoïtes peuvent pénétrer dans l'organisme par la muqueuse nasale. Ils migrent ensuite vers le cerveau (après avoir pénétré la lame criblée) via les nerfs olfactifs où ils causent une méningo-encéphalite amibienne primaire.
Chez les patients infectés, des trophozoïtes sont trouvés dans le liquide céphalorachidien (LCR) et les tissus, et des flagellés sont occasionnellement trouvés dans le LCR. Les kystes ne sont pas observés dans le tissu cérébral.
1–3. Le cycle de vie de N. fowleri comprend 3 étapes: les kystes, les trophozoïtes, les flagellés.
4. Les trophozoïtes se reproduisent par promitose (la membrane nucléaire reste intacte).
5–6. Les trophozoïtes sont la forme infectieuse. Ils peuvent se transformer en flagellés temporaires qui ne s'alimentent pas pendant cette phase et qui redeviennent généralement des trophozoïtes. Les trophozoïtes infectent les humains ou les animaux en pénétrant la muqueuse nasale, généralement pendant la natation ou l'irrigation des sinus (5), et migrent vers le cerveau (6) via les nerfs olfactifs, causant une méningo-encéphalite amibienne primaire. Les trophozoïtes sont retrouvés dans le liquide céphalorachidien (LCR) et les tissus, tandis que les flagellés sont occasionnellement retrouvés dans le LCR. Les kystes ne sont pas visibles dans le tissu cérébral.
Image from the Centers for Disease Control and Prevention, Global Health, Division of Parasitic Diseases and Malaria.
Symptomatologie de la méningoencéphalite amibienne primitive
Les symptômes de la méningo-encéphalite amibienne primitive débutent de 1 à 2 semaines après l'exposition, parfois avec une modification de l'odorat et du goût.
La méningo-encéphalite fulminante apparaît ensuite avec des céphalées, un syndrome méningé et une altération de l'état mental, évoluant vers le décès en 10 jours, habituellement dû à l'engagement cérébral. Seuls quelques patients ont survécu.
Diagnostic de la méningo-encéphalite amibienne primitive
Examen du liquide céphalorachidien
La méningoencéphalite amibienne primitive est suspectée en cas d'antécédents de baignade dans de l'eau douce, mais la confirmation est difficile, car la TDM, l'IRM et les examens habituels du liquide céphalorachidien, bien qu'ils soient nécessaires pour éliminer les autres causes, n'apportent aucun argument spécifique. L'imagerie montre généralement un œdème cérébral, une hydrocéphalie et un rehaussement méningé.
Un montage humide de liquide céphalorachidien frais (non réfrigéré ou congelé) doit être effectué dès que possible; il peut mettre en évidence des trophozoïtes amibiens mobiles (qui peuvent être observés dans des prélèvements colorés au Giemsa et à l'hématoxyline-éosine, mais qui sont détruits par les techniques de coloration de Gram).
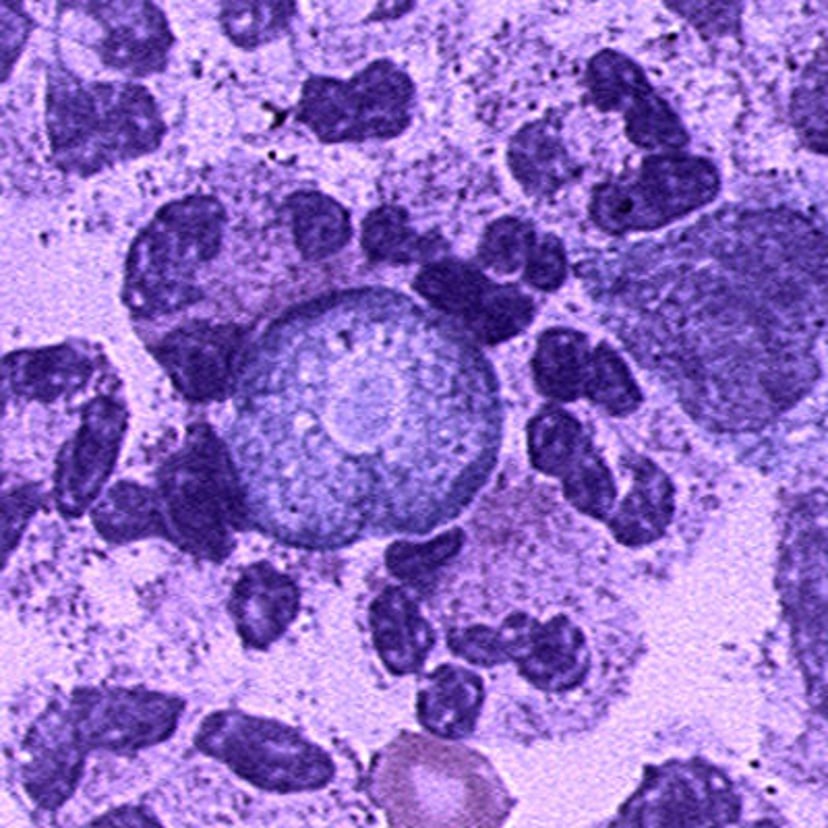
Cette image montre un trophozoïte de N. fowleri dans le liquide céphalorachidien coloré à l'hématoxyline et à l'éosine.
CDC/DPDx
L'immunohistochimie, la culture amibienne, la Polymerase Chain Reaction (PCR) du liquide céphalorachidien, et/ou une biopsie cérébrale sont disponibles dans des laboratoires de référence spécialisés. La consultation des Centers for Disease Control and Prevention (CDC) ou d'autres experts du diagnostic de l'encéphalite amibienne est recommandée.
Traitement de la méningo-encéphalite amibienne primitive
Médicaments multiples, dont la miltéfosine en plus des médicaments antifongiques et des antibiotiques
Le traitement optimal n'est pas clair, mais il doit être débuté dès que possible. La consultation d'experts au CDC est recommandée (voir Consultation with the Centers for Disease Control and Prevention [CDC]).
Les protocoles de traitement doivent comprendre la miltéfosine, un médicament antileishmanien, qui a été utilisé en association avec d'autres médicaments avec succès pour traiter les patients atteints de méningo-encéphalite amibienne primitive. La miltéfosine a également été utilisée avec succès pour traiter l'encéphalite due à Balamuthia, Sappinia, et Acanthamoeba; elle est disponible dans le commerce. Malgré la possibilité que la miltéfosine cause des anomalies congénitales, elle peut être envisagée chez les femes enceintes car la méningo-encéphalite amibienne primitive est généralement fatale sans traitement; par conséquent, les bénéfices potentiels du traitement peuvent l'emporter sur les risques pour le fœtus.
D'autres agents antimicrobiens qui ont été utilisés dans des protocoles d'association contre Naegleria comprennent les suivants:
Amphotéricine B
Rifampicine
Un azole (fluconazole, voriconazole ou kétoconazole)
Azithromycine ou minocycline
La nitroxoline est un médicament expérimental qui peut être efficace dans le cadre d'une thérapie combinée. Aux États-Unis, il est disponible par le biais du CDC (1).
Anticonvulsivants et dexaméthasone sont souvent nécessaires pour contrôler les convulsions et l'œdème cérébral (2). L'administration IV de mannitol ou de solution saline hypertonique peut être nécessaire pour obtenir un contrôle. La prise en charge agressive de l'œdème cérébral avec hypothermie thérapeutique (refroidissement du corps en dessous de la température corporelle normale) a également été associée à la survie et à la récupération neurologique chez les quelques patients qui ont survécu (3).
Références pour le traitement
1. Chao-Pellicer J, Arberas-Jiménez I, Fuchs F, et al. Repurposing of Nitroxoline as an Alternative Primary Amoebic Meningoencephalitis Treatment. Antibiotics (Basel). 2023;12(8):1280. Published 2023 Aug 3. doi:10.3390/antibiotics12081280
2. Anwar A, Rajendran K, Siddiqui R, Raza Shah M, Khan NA. Clinically Approved Drugs against CNS Diseases as Potential Therapeutic Agents To Target Brain-Eating Amoebae. ACS Chem Neurosci. 2019;10(1):658-666. doi:10.1021/acschemneuro.8b00484
3. Pugh JJ, Levy RA. Naegleria fowleri: Diagnosis, Pathophysiology of Brain Inflammation, and Antimicrobial Treatments. ACS Chem Neurosci. 2016;7(9):1178-1179. doi:10.1021/acschemneuro.6b00232
Points clés
La méningo-encéphalite amibienne primitive est rare et habituellement mortelle.
L'infection est contractée en nageant dans de l'eau douce contaminée; Naegleria fowleri pénètre dans le système nerveux central par le neuroépithélium olfactif et la plaque cribriforme.
Les examens diagnostiques doivent comprendre un montage humide et un prélèvement de liquide céphalorachidien coloré au Giemsa; une biopsie cérébrale et une analyse immunohistochimique peuvent être nécessaires pour confirmer le diagnostic.
Traiter l'infection par de multiples agents antimicrobiens, dont la miltéfosine; si nécessaire, traiter les convulsions et l'œdème cérébral par des antiépileptiques et de la dexaméthasone.
La survie est rare mais elle a été attribuée à un diagnostic et à un traitement précoces associés à une prise en charge agressive de l'œdème cérébral.



