L'encéphalite amibienne granulomateuse est une infection subaiguë très rare, généralement fatale du système nerveux central, provoquée par des amibes libres, Acanthamoeba spp. chez un hôte immunodéprimé ou fragile, par Balamuthia mandrillaris chez les hôtes sains, ou par Sappinia pedata. Les symptômes comprennent des changements neurologiques; les espèces d'Acanthamoeba et B. mandrillaris peuvent également causer des lésions cutanées. Le diagnostic se fait par imagerie cérébrale, analyse du liquide céphalorachidien et biopsie de spécimens cutanés et parfois cérébraux. Le traitement repose sur la miltéfosine et d'autres médicaments antiparasitaires.
Acanthamoeba spp et Balamuthia mandrillaris sont ubiquitaires dans l'eau, le sol et la poussière. L'exposition humaine est fréquente, mais l'infection est rare. L'infection par Acanthamoeba du système nerveux central est presque toujours observée chez les patients immunodéprimés ou affaiblis; cependant, B. mandrillaris peut infecter les patients en bonne santé ainsi que ceux immunodéprimés. Sappinia pedata a été impliqué dans un cas d'encéphalite amibienne au Texas (1).
Les cycles évolutifs d'Acanthamoeba, de Balamuthia et de Sappinia ne comprennent que 2 étapes: les kystes et les trophozoïtes (la forme infectieuse). Les trophozoïtes forment des kystes à double paroi qui résistent à l'éradication. On pense que le site d'entrée est la peau ou les voies respiratoires inférieures, avec ensuite une dissémination hématogène dans le système nerveux central. Chez les patients infectés, des kystes et des trophozoïtes peuvent être observés dans les tissus.
Référence générale
1. Qvarnstrom Y, da Silva AJ, Schuster FL, Gelman BB, Visvesvara GS. Molecular confirmation of Sappinia pedata as a causative agent of amoebic encephalitis. J Infect Dis. 2009;199(8):1139–1142. doi:10.1086/597473
Symptômes de l'encéphalite amibienne granulomateuse
En cas d'encéphalite amibienne granulomateuse, le début est insidieux, souvent avec des manifestations neurologiques focales se développant sur des semaines ou des mois. Des changements de l'état mental avec des anomalies comportementales, des convulsions et des céphalées sont fréquents. Les symptômes d'inflammation, tels que fièvre et malaise, sont fréquents.
Acanthamoeba spp et B. mandrillaris peuvent également provoquer des lésions cutanées; les patients peuvent présenter initialement des lésions ulcéreuses cutanées et développer plus tard une symptomatologie neurologique. Chez quelques patients atteints d'une infection par le VIH avancée, l'infection disséminée par Acanthamoeba n'affecte que la peau.
L'évolution des symptômes neurologiques conduit à un délire, un coma et, finalement, au décès, même lorsque le traitement est instauré. La survie est rare en cas de maladie du système nerveux central ou disséminée; la mort survient habituellement entre 7 et 120 jours après le début.
Diagnostic de l'encéphalite amibienne granulomateuse
TDM et/ou IRM de la tête avec contraste
Analyse du liquide céphalorachidien
Biopsie des lésions cutanées
Le diagnostic d'encéphalite amibienne granulomateuse est souvent posé post-mortem. Les cliniciens doivent avoir un haut degré de suspicion chaque fois que l'évaluation microbiologique de routine du LCR dans le contexte d'une encéphalite est négative pour les bactéries, les champignons ou les virus.
Diagnostic des infections par Acanthamoeba
En cas d'infection du cerveau à Acanthamoeba, la TDM avec contraste et l'IRM peuvent montrer des lésions expansives uniques ou multiples avec prise de contraste annulaire, le plus souvent au niveau des lobes temporaux et pariétaux. Dans le liquide céphalorachidien, le nombre de globules blancs (principalement les lymphocytes) est élevé, mais les trophozoïtes sont rarement observés. Ces tests aident à exclure d'autres causes possibles mais ne peuvent généralement pas confirmer le diagnostic.
Des lésions cutanées visibles contiennent souvent des amibes et doivent faire l'objet d'une biopsie; si on détecte des amibes, on peut les mettre en culture et tester leur sensibilité aux traitements.
La biopsie cérébrale est souvent positive pour les trophozoïtes à la coloration à l'hématoxyline-éosine et doit être envisagée si une encéphalite amibienne granulomateuse est suspectée.
Cette image montre un kyste d'Acanthamoeba dans un prélèvement de tissu cérébral coloré à l'hématoxyline et à l'éosine.
CDC/ DPDx; George Healy, Ph.D.
Des tests utilisant la Polymerase Chain Reaction (PCR) sont disponibles dans des laboratoires de référence spécialisés, notamment un test PCR multiplex pour l'identification des espèces d'Acanthamoeba et de B. mandrillaris (1).
Diagnostic des infections par B. mandrillaris
En cas d'infection du cerveau par B. mandrillaris, la TDM et l'IRM, toutes deux avec un produit de contraste, montrent généralement de multiples lésions nodulaires et annulaires. Une hémorragie intra-lésionnelle est un indice radiologique important.
Dans le liquide céphalorachidien, la numération des globules blancs est élevée (principalement des lymphocytes), la glycémie est normale ou basse et les protéines sont souvent très élevées. B. mandrillaris est rarement identifié dans le liquide céphalorachidien.
L'examen microscopique associé à des techniques de PCR et immunohistochimiques permet d'identifier B. mandrillaris dans les biopsies de lésions cérébrales ou cutanées.
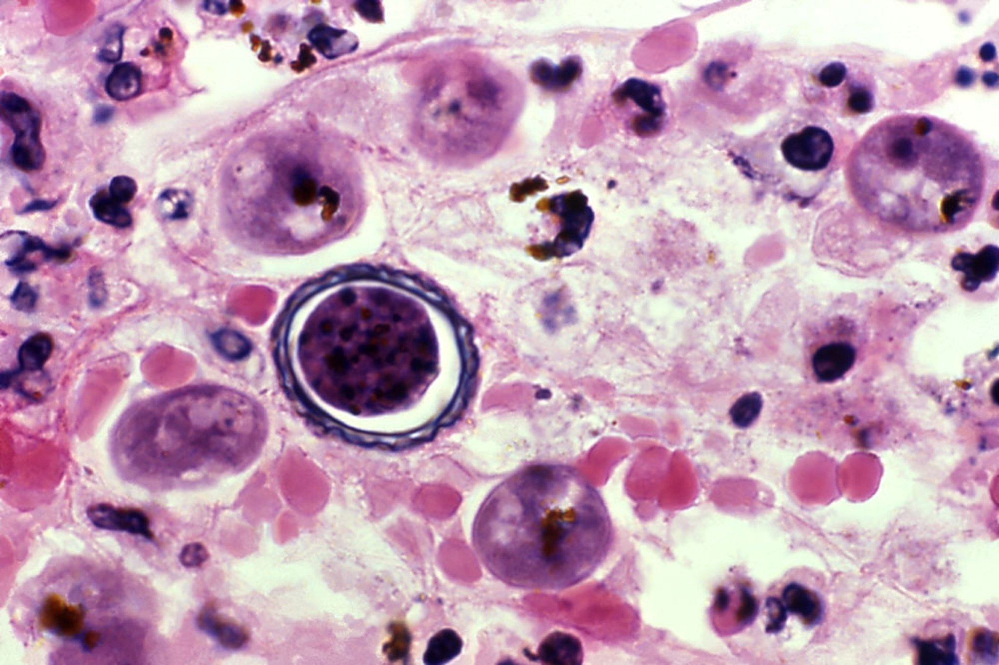
Cette image montre un kyste de B. mandrillaris dans un échantillon de tissu cérébral coloré à l'hématoxyline et à l'éosine.
Image courtesy of the University of Kentucky Hospital, Lexington, Kentucky.
Diagnostic des infections à S. pedata
Chez les patients qui ont des infections du cerveau à S. pedata, la biopsie de la lésion cérébrale peut fournir des informations diagnostiques cruciales. La présence d'une inflammation hémorragique nécrosante avec des amibes libres, particulièrement celles dotées de deux noyaux distincts, indique une infection à Sappinia.
Les techniques moléculaires peuvent ensuite être utilisées pour un diagnostic de confirmation. Les tests en temps réel de la réaction en chaîne par polymérase (PCR) peuvent être utilisés pour confirmer la présence d'ADN de Sappinia dans les prélèvements cliniques. Cette confirmation moléculaire est cruciale pour un diagnostic précis car les espèces de Sappinia ne sont généralement pas associées à des maladies humaines et peuvent être mal identifiées morphologiquement.
La microscopie par immunofluorescence peut également être envisagée; cette technique peut aider à différencier Sappinia des autres amibes causes d'encéphalite. Les caractéristiques structurelles uniques de Sappinia, comme les doubles noyaux, peuvent être identifiées en utilisant des colorations spécifiques.
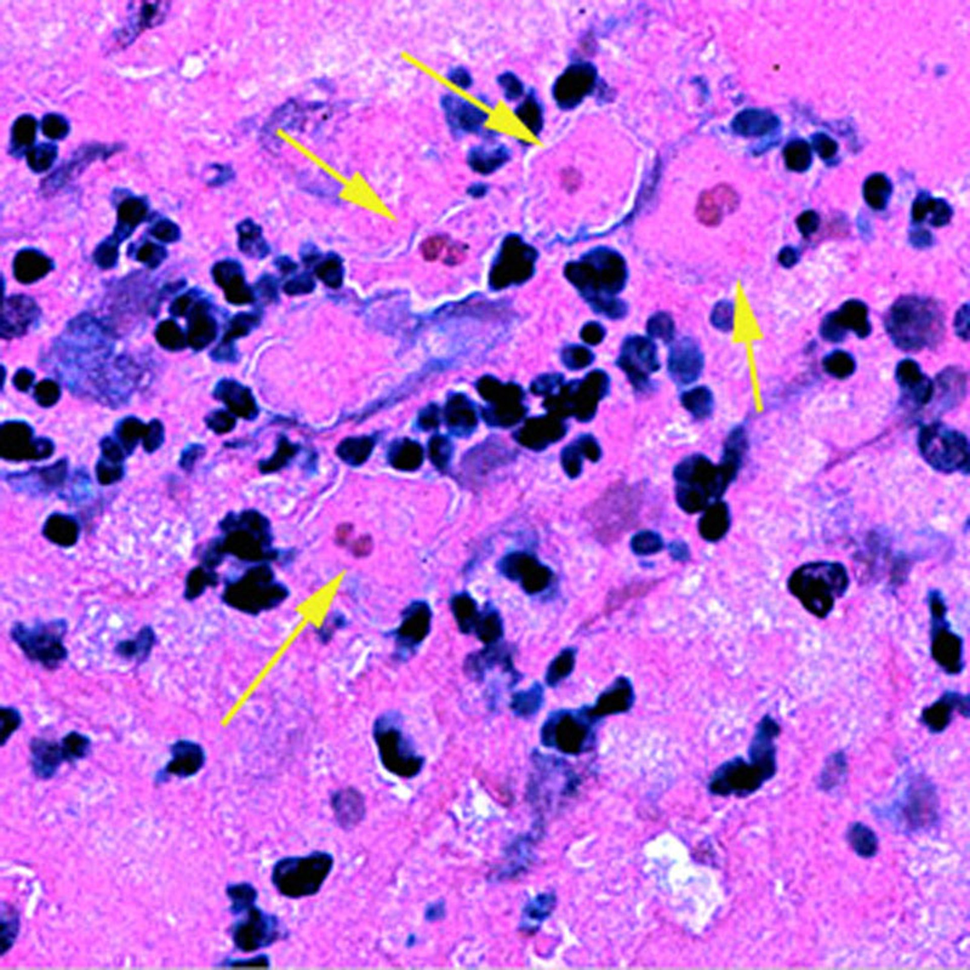
Cette image montre 4 trophozoïtes (flèches) de S. pedata dans le tissu cérébral coloré à l'hématoxyline et à l'éosine. Dans 3 des amibes, les doubles noyaux peuvent facilement être vus.
CDC/DPDx
Référence pour le diagnostic
1. Qvarnstrom Y, Visvesvara GS, Sriram R, da Silva AJ. Multiplex real-time PCR assay for simultaneous detection of Acanthamoeba spp., Balamuthia mandrillaris, and Naegleria fowleri. J Clin Microbiol. 2006;44(10):3589-3595. doi:10.1128/JCM.00875-06
Traitement de l'encéphalite amibienne granulomateuse
Une association de médicaments antiparasitaires, dont la miltéfosine
Consultation du Centers for Disease Control and Prevention (CDC)
Pour tous les cas d'encéphalite amibienne granulomateuse, une consultation immédiate avec le CDC est recommandée (voir CDC: Parasitic Diseases Hotline/Clinical Consult Service for Healthcare Providers (non-malaria parasitic diseases).
Le traitement optimal de l'encéphalite à Acanthamoeba est mal connu. Plusieurs médicaments (souvent > 5) sont généralement utilisés en association. Bien que le nombre de patients traités par un protocole contenant de la miltéfosine soit petit, la miltéfosine semble offrir un avantage de survie et est recommandée. Bien que la miltefosine puisse causer des anomalies congénitales, elle peut être envisagée chez les femmes enceintes car l'encéphalite amibienne granulomateuse est généralement fatale sans traitement; par conséquent, les bénéfices potentiels du traitement peuvent l'emporter sur les risques pour le fœtus.
Les autres médicaments utilisés en association avec la miltéfosine pour traiter l'encéphalite à Acanthamoeba comprennent la pentamidine, la sulfadiazine ou le triméthoprime/sulfaméthoxazole, l'azithromycine ou la clarithromycine, la flucytosine, un azole (le fluconazole, l'itraconazole ou le voriconazole), la rifampicine, la caspofungine et l'amphotéricine B.
Dans l'encéphalite à B. mandrillaris, la miltéfosine en association avec d'autres médicaments tels que la flucytosine, la pentamidine, le fluconazole et/ou la sulfadiazine plus l'azithromycine ou la clarithromycine plus la résection chirurgicale ont été utilisés.
Un cas d'encéphalite à Sappinia pedata a été traité avec succès par une association de azithromycine, de pentamidine, de itraconazole, et de flucytosine plus résection chirurgicale de la lésion du système nerveux central. L'ajout de miltéfosine à ce régime doit être envisagé pour les futurs cas.
Infections cutanées et disséminées par Acanthamoeba spp ou B. mandrillaris sont habituellement traités par les mêmes médicaments plus un débridement chirurgical des lésions cutanées.
Points clés
L'encéphalite amibienne granulomateuse est une infection très rare, généralement mortelle, du système nerveux central.
L'encéphalite à Acanthamoeba est observée presque exclusivement chez le patient immunodéprimé ou dont l'état est affaibli pour d'autres raisons, mais B. mandrillaris peut infecter des sujets en bonne santé.
Effectuer une TDM ou une IRM de la tête, toutes deux avec contraste; effectuer des examens du liquide céphalorachidien pour exclure d'autres causes; faire une biopsie des lésions cutanées, le cas échéant, ou parfois du cerveau pour rechercher des amibes.
Consulter le CDC sur les tests diagnostiques et le traitement optimal.
Traiter par la miltéfosine plus d'autres médicaments antiparasitaires (p. ex., la pentamidine, les macrolides, la sulfadiazine, la flucytosine, un azole).



