Une boule dans le sein peut être découverte par les patientes fortuitement, lors d'un auto-examen du sein, ou par le médecin à l'occasion d'un examen clinique.
Les masses peuvent être indolores ou douloureuses et sont parfois accompagnées d'un écoulement mamelonnaire ou d'anomalies cutanées.
Étiologie des masses mammaires
Toutes les masses mammaires doivent être évaluées pour exclure un cancer du sein, mais la majorité ne sont pas malignes. Les causes les plus fréquentes sont
La dystrophie fibrokystique
Les fibroadénomes
La mastopathie fibrokystique (auparavant appelée maladie fibrokystique du sein) regroupe des lésions non proliférantes dont les kystes du sein et des masses quelconques (généralement du quadrant supérieur externe du sein); ces signes peuvent survenir isolément ou ensemble. Les seins ont une texture nodulaire et dense et sont fréquemment douloureux à la palpation. Les seins peuvent être lourds et inconfortables. Les femmes peuvent ressentir une douleur brûlante dans les seins. Les anomalies fibrokystiques sont la cause des symptômes mammaires les plus fréquemment rapportés. Les symptômes peuvent s'amender après la ménopause.
La stimulation répétée par les œstrogènes et par la progestérone peut contribuer au développement d'anomalies fibrokystiques, qui sont plus fréquentes chez les femmes ayant eu une ménarche précoce, leur premier enfant à > 30 ans ou qui sont nullipares. Les modifications fibrokystiques ne sont pas associées à un risque accru de cancer.
Les fibroadénomes sont généralement des masses lisses, arrondies, mobiles, indolores; ils peuvent être confondus avec un cancer. Ils se développent généralement chez la femme pendant la période fertile et leur taille peut diminuer au fil du temps. Les fibroadénomes simples ne semblent pas faire courir un risque accru de cancer du sein. Les fibroadénomes complexes sont associés à un risque légèrement accru de cancer du sein (1). Les fibroadénomes juvéniles sont une variante observée chez l'adolescente et, contrairement aux fibroadénomes de la femme âgée, ces fibroadénomes continuent de se développer au fil du temps.
Cette photo montre une petite bosse au-dessus du mamelon. La masse a ensuite été diagnostiquée comme un fibroadénome.
GIRAND/SCIENCE PHOTO LIBRARY
Les infections mammaires (mastite) peuvent provoquer des douleurs, un érythème et des tuméfactions; un abcès peut se manifester par une masse discrète. La mastite puerpérale, habituellement due à un Staphylococcus aureus, peut entraîner une inflammation massive et de fortes douleurs au niveau des seins, parfois accompagnées d'un abcès. Les infections sont extrêmement rares sauf au cours du post-partum ou après un traumatisme pénétrant. Elles peuvent survenir après une chirurgie mammaire. Si l'infection apparaît dans d'autres circonstances, on doit rechercher impérativement un cancer sous-jacent. Les types de mastite bénigne non lactationnelle sont la mastite périductale, la mastite granulomateuse idiopathique et la mastite tuberculeuse (voir Tuberculose extrapulmonaire); ces types surviennent principalement chez les jeunes femmes.
Cette photo montre une masse irrégulière sur la face latérale du sein gauche. La masse a ensuite été diagnostiquée comme un cancer du sein.
MID ESSEX HOSPITAL SERVICES NHS TRUST/SCIENCE PHOTO LIBRARY
La galactocèle est un kyste rond, plutôt mobile et contenant beaucoup de lait qui apparaît habituellement jusqu'à 6 à 10 mois après l'interruption de l'allaitement. De tels kystes s'infectent rarement.
Cette photo montre une grande masse érythémateuse sur la partie supérieure du sein droit. La masse a ensuite été diagnostiquée comme un cancer.
DR M.A. ANSARY/SCIENCE PHOTO LIBRARY
Des cancers de types variés peuvent être détectés par la présence d'une tuméfaction.
Référence pour l'étiologie
1. Nassar A, Visscher DW, Degnim AC, et al: Complex fibroadenoma and breast cancer risk: a Mayo Clinic Benign Breast Disease Cohort Study. Breast Cancer Res Treat 153(2):397-405, 2015. doi:10.1007/s10549-015-3535-8
Bilan des masses mammaires
Anamnèse
Les antécédents de maladie actuelle doivent comprendre depuis combien de temps la masse est présente, si la taille est constante ou variable et si la masse est douloureuse. Les antécédents de masse et le résultat de leur exploration doivent être précisés.
La revue des systèmes doit établir si un écoulement mamelonnaire est présent et, si tel est le cas, s'il est unilatéral spontané ou s'il survient uniquement suite à une manipulation de la poitrine et s'il est clair, lactescent ou sanglant. Les symptômes de cancer avancé (p. ex., perte de poids, sensation de malaise, douleurs osseuses) doivent être recherchés.
La recherche des antécédents médicaux doit comprendre celle des facteurs de risque de cancer du sein y compris les antécédents personnels de diagnostic de cancer mammaire, des antécédents de radiothérapie thoracique avant l'âge de 30 ans (p. ex., pour lymphome de Hodgkin). Les antécédents familiaux doivent rechercher un cancer du sein chez un parent au 1er degré (mère, sœur, fille) et, si les antécédents familiaux sont positifs, si le parent était porteur d'une des mutations génétiques héréditaires qui prédisposent au cancer du sein (p. ex., BRCA1, BRCA2).
Examen clinique
L'examen est centré sur le sein et les tissus adjacents. Le sein est examiné à la recherche de modifications de la peau en regard de la masse, d'une inversion du mamelon (rétraction) et d'un écoulement mamelonnaire. Les modifications cutanées peuvent comprendre un érythème, un aspect eczémateux, un œdème ou une peau d'orange.
Cette photo montre un gros plan d'un mamelon rétracté ou inversé du sein chez une patiente adulte. Cette pathologie peut être un signe de cancer du sein ou ne pas être due à une maladie sous-jacente.
SCIENCE PHOTO LIBRARY
La masse est palpée pour évaluer sa taille, sa sensibilité, sa consistance (c'est-à-dire, dure ou molle, lisse ou irrégulière), ses bords (bien définis ou non discrets) et sa mobilité (mobile ou fixée à la peau ou à la paroi thoracique).
Les régions axillaires, sus- et sous-claviculaires sont palpées à la recherche de masses ou d'adénopathies.
Signes d'alarme
Certains signes sont particulièrement préoccupants:
Masse fixée à la peau ou à la paroi thoracique
Masse dure, pierreuse et irrégulière
Capiton cutané
Peau épaissie, érythémateuse
Écoulement mamelonnaire sanglant ou spontané
Ganglions axillaires volumineux ou fixés
Interprétation des signes
Des masses douloureuses et caoutchouteuses chez la femme qui présente des antécédents de signes identiques et en âge de procréer suggèrent des troubles fibrokystiques.
Certains signes d'alarme suggèrent une anomalie cancéreuse. Cependant, les caractéristiques des lésions bénignes et malignes, avec ou sans facteurs de risque sous-jacents, se chevauchent considérablement. C'est pour cette raison et parce que la non identification du cancer a des conséquences graves, que des examens complémentaires sont nécessaires afin d'exclure formellement tout cancer du sein sous-jacent.
Examens complémentaires
Les médecins cherchent dans un premier temps à différencier les tuméfactions solides des tuméfactions kystiques, car les kystes sont rarement cancéreux. Une échographie est généralement effectuée en premier. Les lésions qui semblent kystiques peuvent être aspirées (p. ex., lorsqu'elles provoquent des symptômes).
Le liquide aspiré d'un kyste est envoyé en cytologie si
Il est trouble ou grossièrement sanglant.
Un volume de liquide peu important est prélevé.
Une masse reste après l'aspiration.
Si ces signes sont présents, une mammographie suivie d'une biopsie à l'aiguille guidée par imagerie est effectuée.
La patiente est réexaminée après 4 à 8 semaines. Si le kyste n'est plus palpable, celui-ci est considéré comme bénin. En cas de récidive du kyste, celui-ci est réaspiré et tout liquide obtenu fait l'objet d'analyses cytologiques quel que soit son aspect. À la 3e récidive ou si une masse persiste après l'aspiration initiale (même si la cytologie était négative) une biopsie est nécessaire.
Les masses solides sont évaluées par mammographie suivie d'une biopsie à l'aiguille guidée par imagerie. Une biopsie chirurgicale est effectuée si la biopsie guidée par l'imagerie n'est pas possible parce que la lésion est trop proche de la peau ou de la paroi thoracique, si la patiente ne peut pas maintenir la position nécessaire pour la biopsie à l'aiguille, ou si la patiente préfère une biopsie chirurgicale.
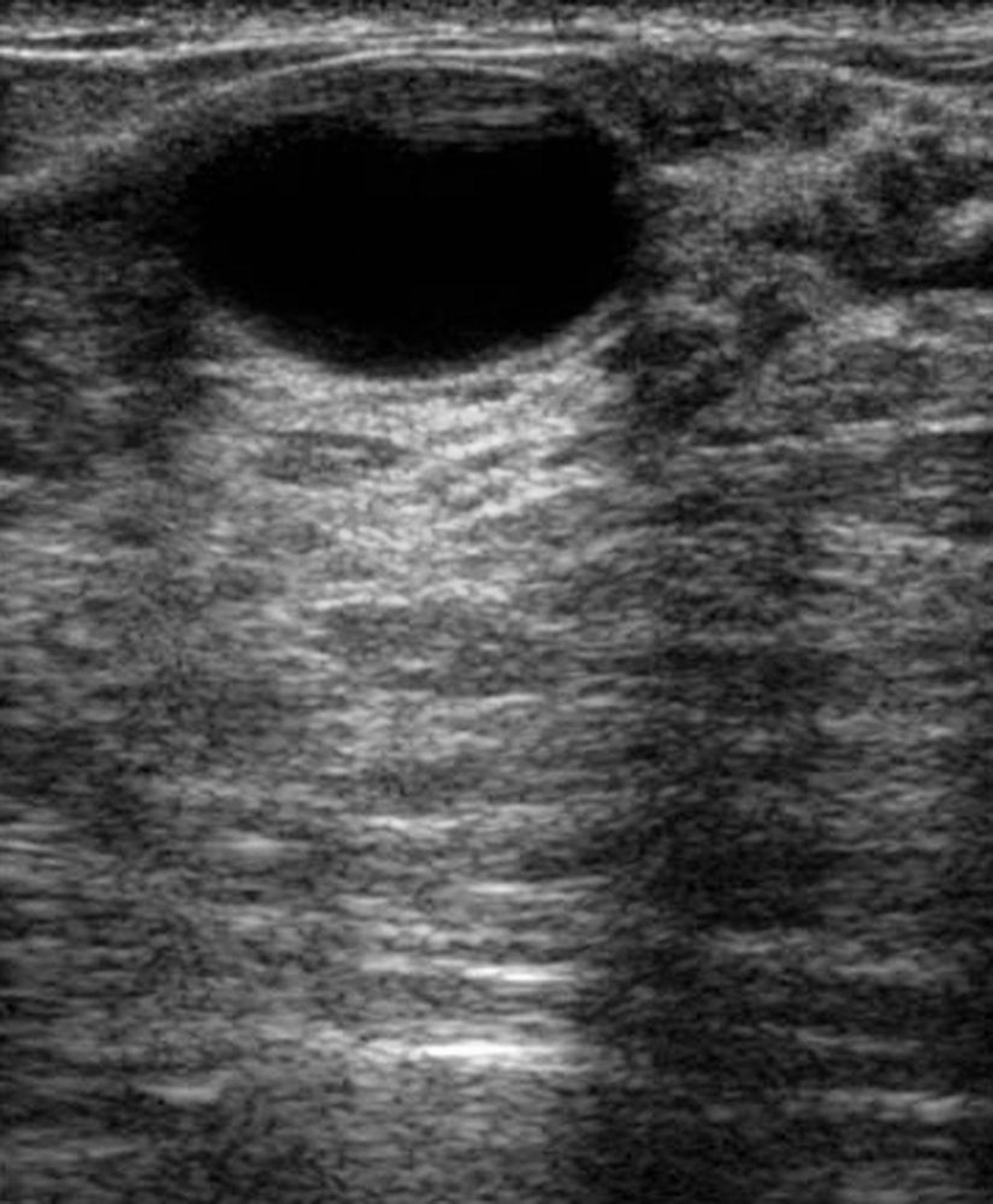
Cette image montre une échographie d'un fibroadénome du sein (structure hypoéchogène ovale dans le centre supérieur de l'image).
ZEPHYR/SCIENCE PHOTO LIBRARY
Cette échographie du sein d'une patiente atteinte d'une maladie fibrokystique montre un kyste en haut au centre. Les kystes sont des poches remplies de liquide et sont habituellement bénins.
DR NAJEEB LAYYOUS/SCIENCE PHOTO LIBRARY
Traitement des masses mammaires
Le traitement de la masse du sein est dirigé contre la cause.
Un fibroadénome sera habituellement enlevé s'il se développe ou provoque des symptômes. Les fibroadénomes peuvent habituellement être excisés chirurgicalement ou, s'ils sont < 3 cm, enlevés par cryoablation sous anesthésie locale, mais les fibroadénomes récidivent fréquemment. L'American Society of Breast Surgeons recommande que les adénomes soient excisés s'ils présentent l'une des caractéristiques suivantes: mitoses stromales, surcroissance stromale, pléomorphisme nucléaire, fragmentation ou infiltration du tissu adipeux (1). En cas de fibroadénomes non excisés, la patiente doit être examinée périodiquement à la recherche de modifications. Après le diagnostic histologique de plusieurs fibroadénomes bénins, la patiente peut décider de ne pas réaliser l'ablation d'autres par la suite. Les fibroadénomes juvéniles ayant tendance à grossir, ils doivent être enlevés uniquement parce qu'ils augmentent en taille.
Le paracétamol, les AINS, et les brassières de sport (utilisées afin de réduire les traumatismes) peuvent également être utilisés pour soulager les symptômes des anomalies de la dystrophie fibrokystique. L'huile d'onagre peut s'avérer assez efficace.
Un galactocèle se résout généralement après l'aspiration.
Le cancer du sein est traité de façon appropriée.
Référence pour le traitement
1. The American Society of Breast Surgeons: Consensus guideline on concordance assessment of image-guided breast biopsies and management of borderline or high-risk lesions; 2016. Accessed December 18, 2023.
Points clés
La plupart des masses mammaires ne sont pas cancéreuses.
Les masses mammaires sont habituellement évaluées d'abord par échographie.
Les masses kystiques sont aspirées et nécessitent une évaluation plus approfondie si le liquide est trouble ou sanglant, si un liquide minimal est obtenu ou si la masse ne se résout pas.
Les masses solides sont évaluées par mammographie et biopsie.



