honeypot link
skip to main content
MSDLe Manuel MSDVersion pour le grand public
SUJETS MÉDICAUX VIVRE EN BONNE SANTÉSYMPTÔMESURGENCESRESSOURCESCOMMENTAIREÀ PROPOS DE
homeSUJETS MÉDICAUX VIVRE EN BONNE SANTÉ
Search icon
  1. <Images
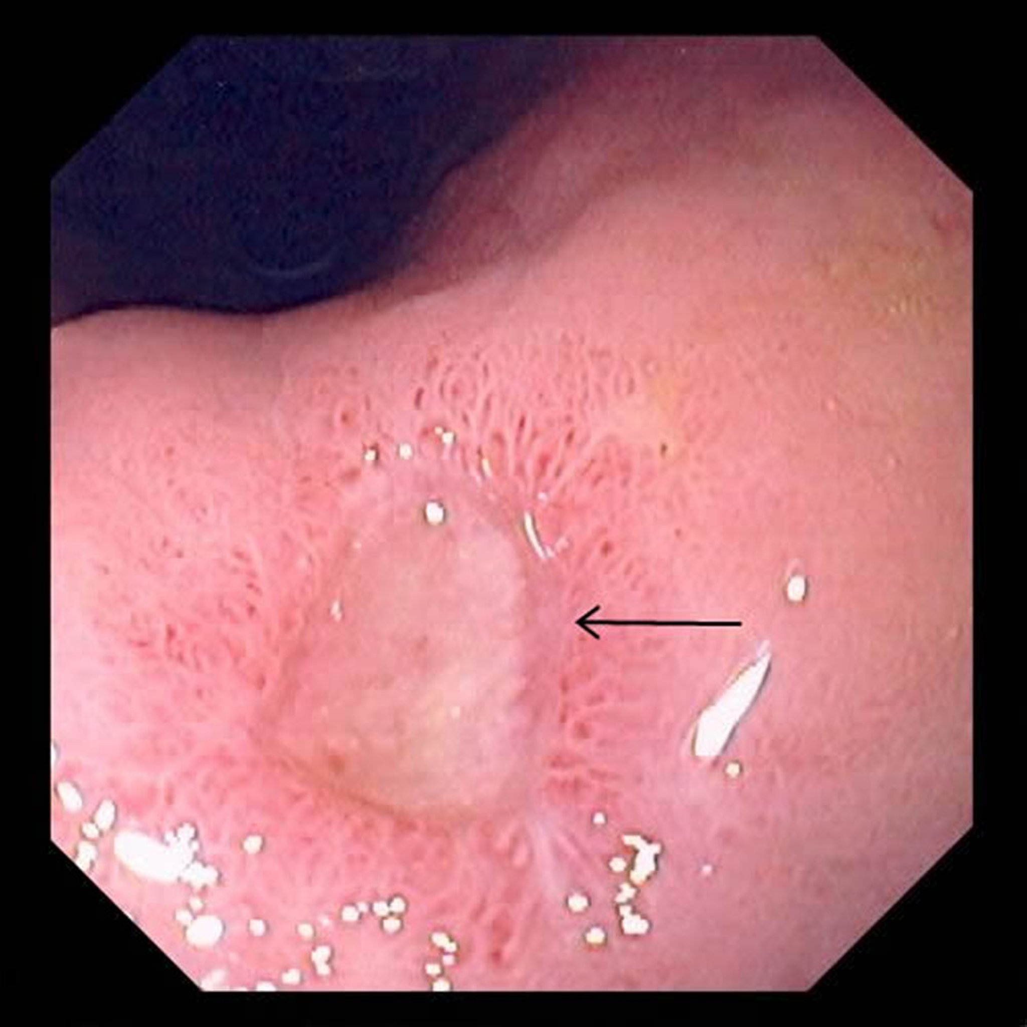
    Ulcère gastrique

    Ulcère gastrique

    Cette photographie montre un ulcère de grande taille (flèche) dans l’estomac.

    Photo fournie par le Dr David M. Martin.

    Dans ces sujets
    • Ulcère gastroduodénal >
    • Les faits en bref: Ulcère gastroduodénal >
    MSD
    • À PROPOS DE
    • Clause de non-responsabilité
    • Autorisations
    • Protection des Renseignements Personnels
    • Cookie Preferences
    • CONTRIBUTEURS
    • Conditions d'utilisation
    • Attribution de licences
    • Contactez-nous
    • CONNAISSANCE MÉDICALE MONDIALE
    • APPLICATIONS MOBILES
    MSD

    Copyright© 2026Merck & Co., Inc., Rahway, NJ, États-Unis et ses sociétés affiliées. Tous droits réservés.