Gingivite ulcéro-nécrosante aiguë
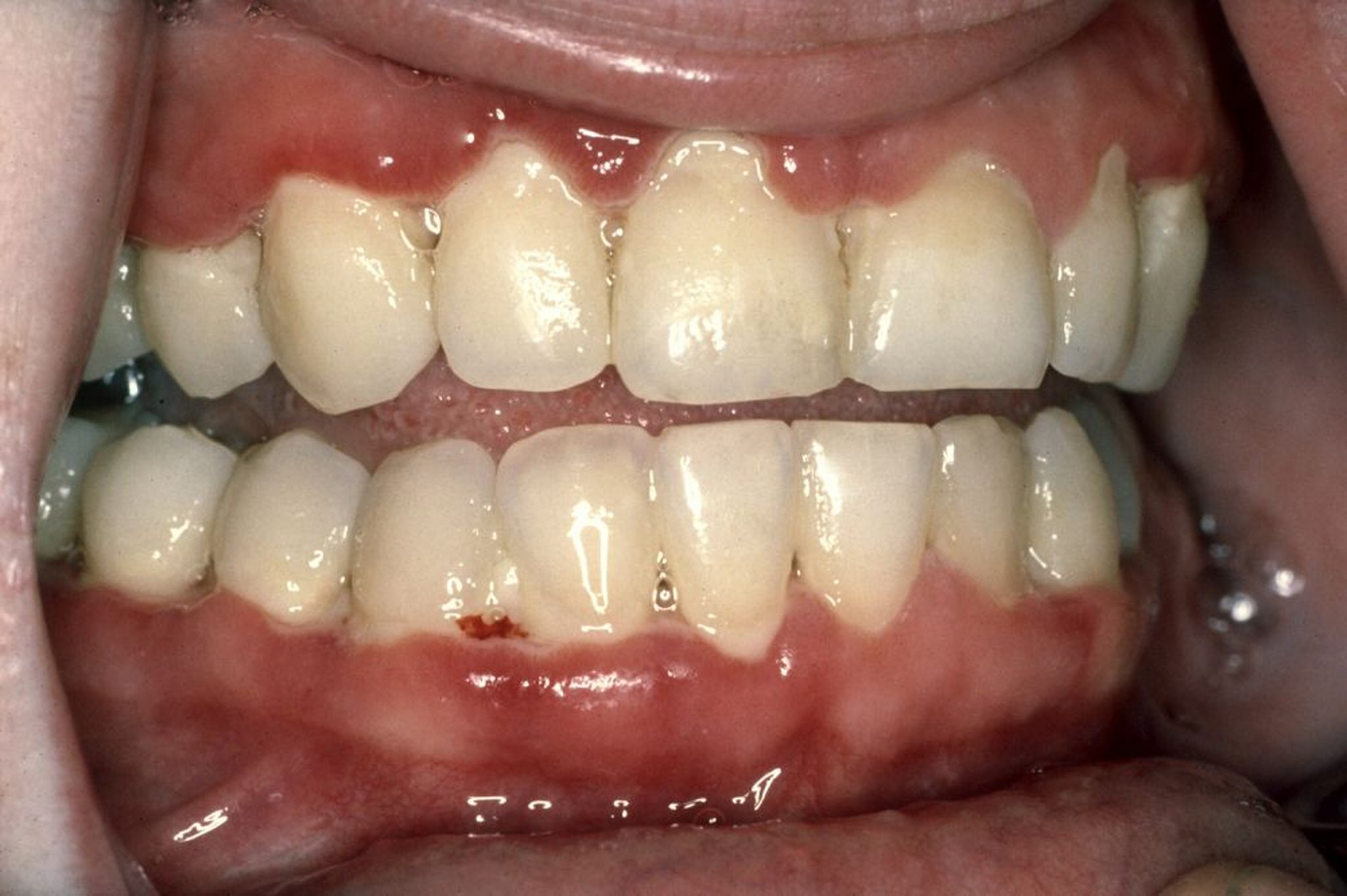
La gingivite ulcéro-nécrosante aiguë (GUNA) se caractérise par des gencives douloureuses qui saignent facilement, l’érosion et la nécrose du tissu gingival interdentaire, et une haleine fétide. Sur cette photo, le tissu gingival est très rouge. Mieux visualisée le long de la ligne gingivale avant inférieure, on observe également une fine ligne de tissu gris et nécrosé (pseudomembrane) qui saigne facilement.
Photo publiée avec l’aimable permission de Craig Fowler, DDS
Dans ces sujets
