Épine calcanéenne
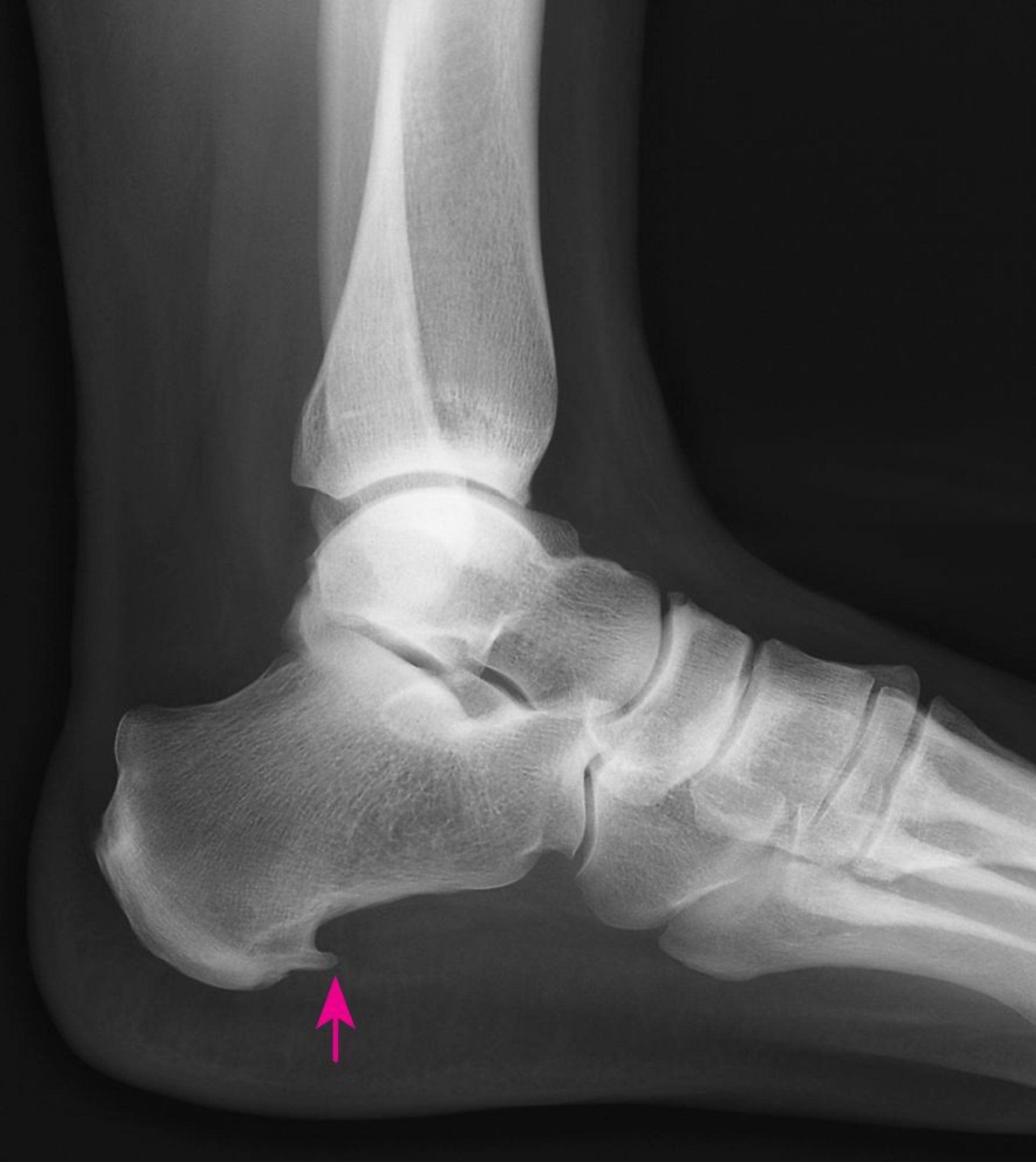
Cette radiographie montre une épine calcanéenne (excroissance osseuse pointue au niveau de l’os du talon [flèche]).
ZEPHYR/SCIENCE PHOTO LIBRARY
Dans ces sujets
Cette radiographie montre une épine calcanéenne (excroissance osseuse pointue au niveau de l’os du talon [flèche]).
ZEPHYR/SCIENCE PHOTO LIBRARY