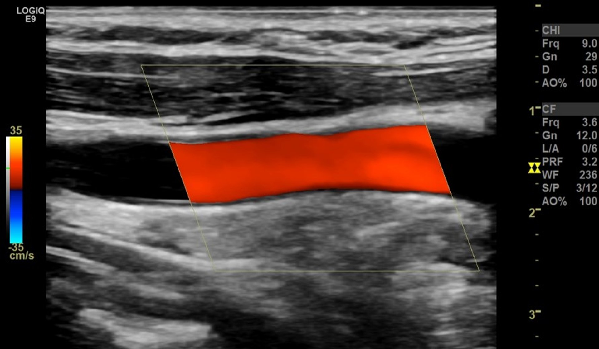
Échographie Doppler couleur de l’artère carotide
La bande rouge représente un flux sanguin normal et non obstrué dans une grosse artère du cou (artère carotide commune), visualisée sur le côté.
Image fournie par le Dr Mustafa Mafraji
Dans ces sujets
La bande rouge représente un flux sanguin normal et non obstrué dans une grosse artère du cou (artère carotide commune), visualisée sur le côté.
Image fournie par le Dr Mustafa Mafraji