Quiste óseo unicameral
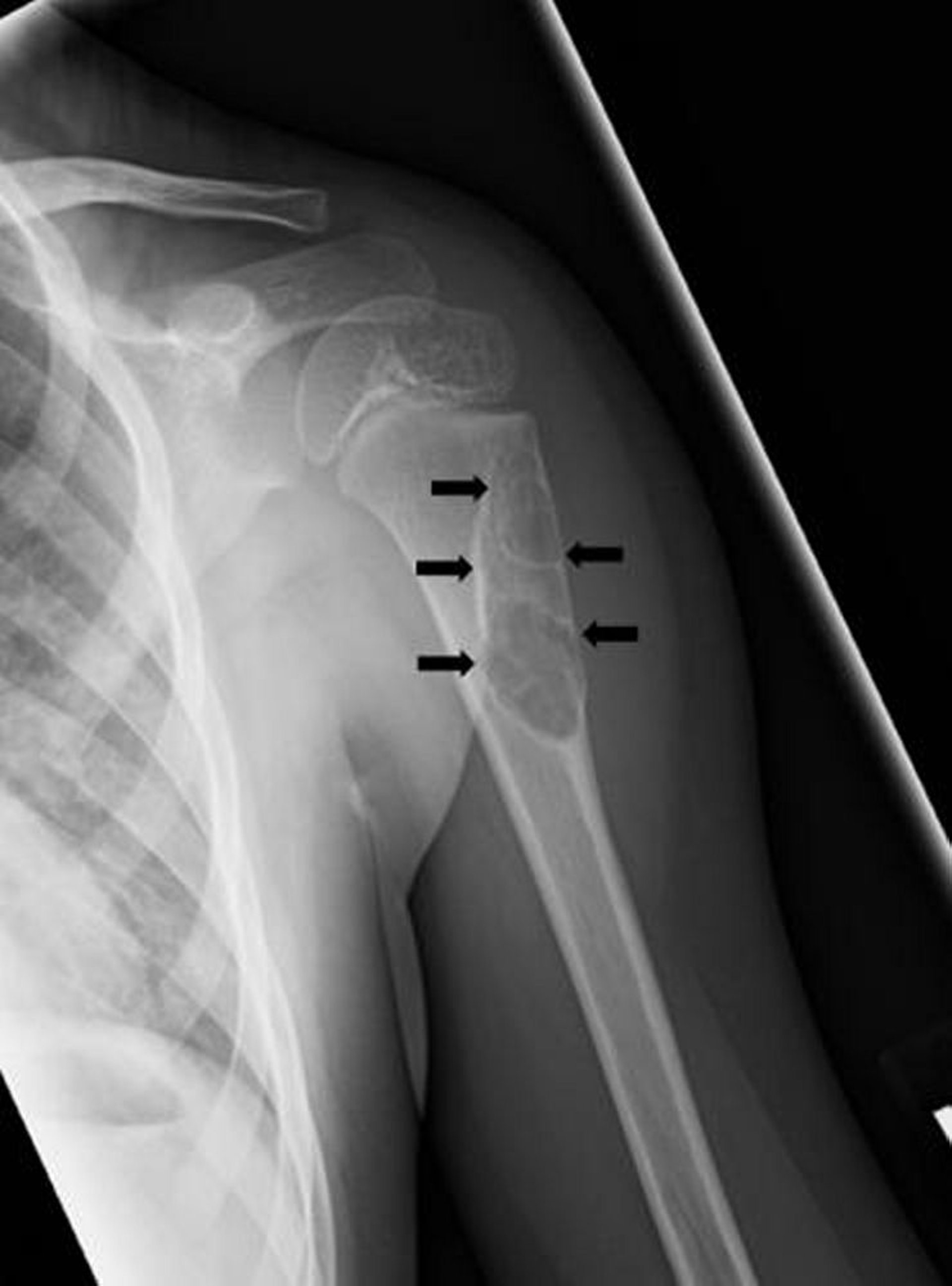
Esta radiografía muestra un quiste óseo unicameral simple (flechas) en el hueso de la parte superior del brazo.
Imagen cortesía de Michael J. Joyce, MD, y Hakan Ilaslan, MD.
En estos temas
Esta radiografía muestra un quiste óseo unicameral simple (flechas) en el hueso de la parte superior del brazo.
Imagen cortesía de Michael J. Joyce, MD, y Hakan Ilaslan, MD.