Quiste óseo aneurismático de la muñeca
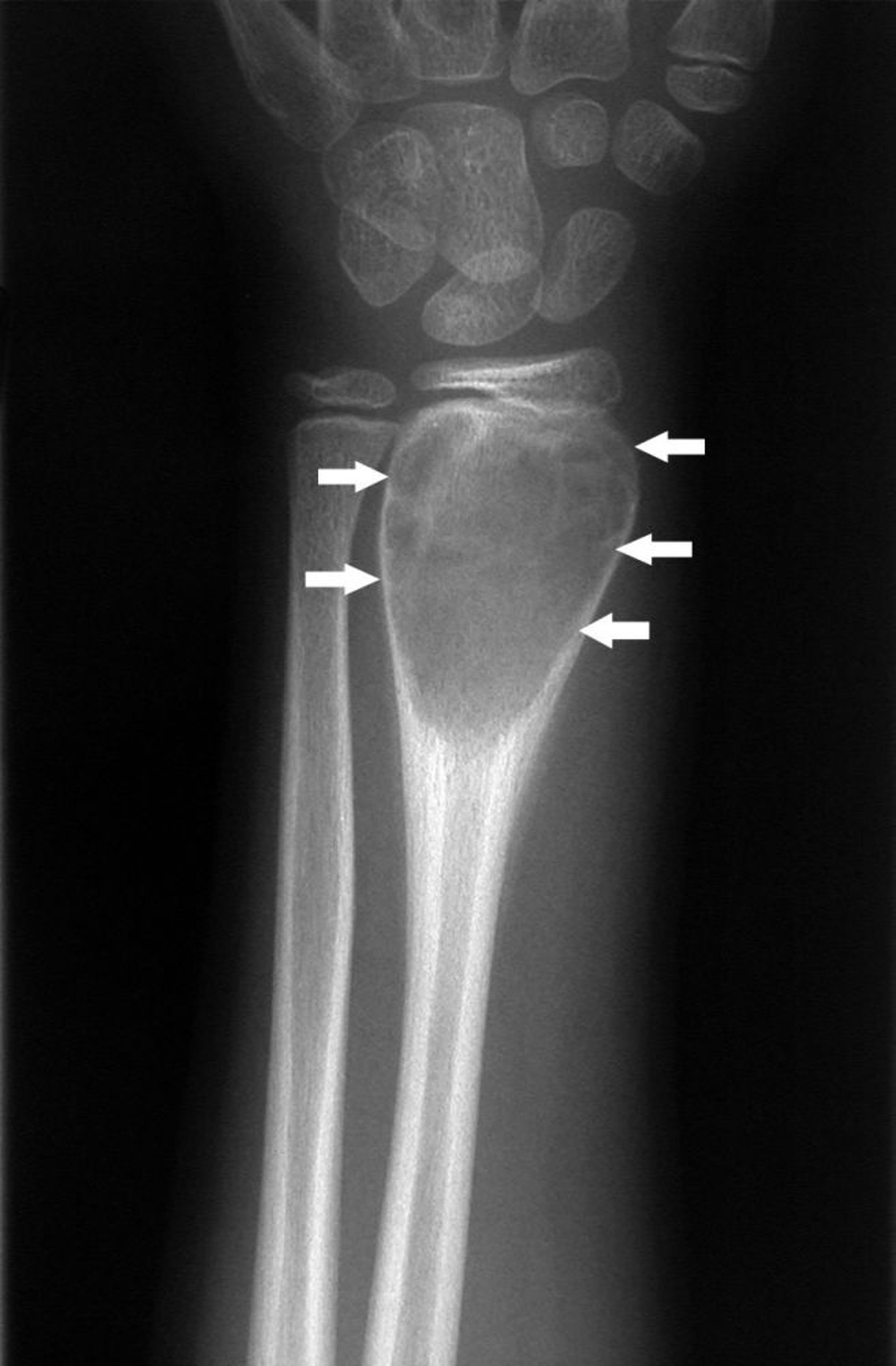
Esta radiografía de la muñeca muestra un quiste óseo aneurismático (flechas).
Imagen cortesía de Michael J. Joyce, MD, y Hakan Ilaslan, MD.
En estos temas
Esta radiografía de la muñeca muestra un quiste óseo aneurismático (flechas).
Imagen cortesía de Michael J. Joyce, MD, y Hakan Ilaslan, MD.