Osteosarcoma
Esta radiografía de la rodilla muestra un osteosarcoma en el hueso del muslo (fémur), por encima de la rodilla.
Imagen cortesía de Lukas Nystrom, MD.
En estos temas
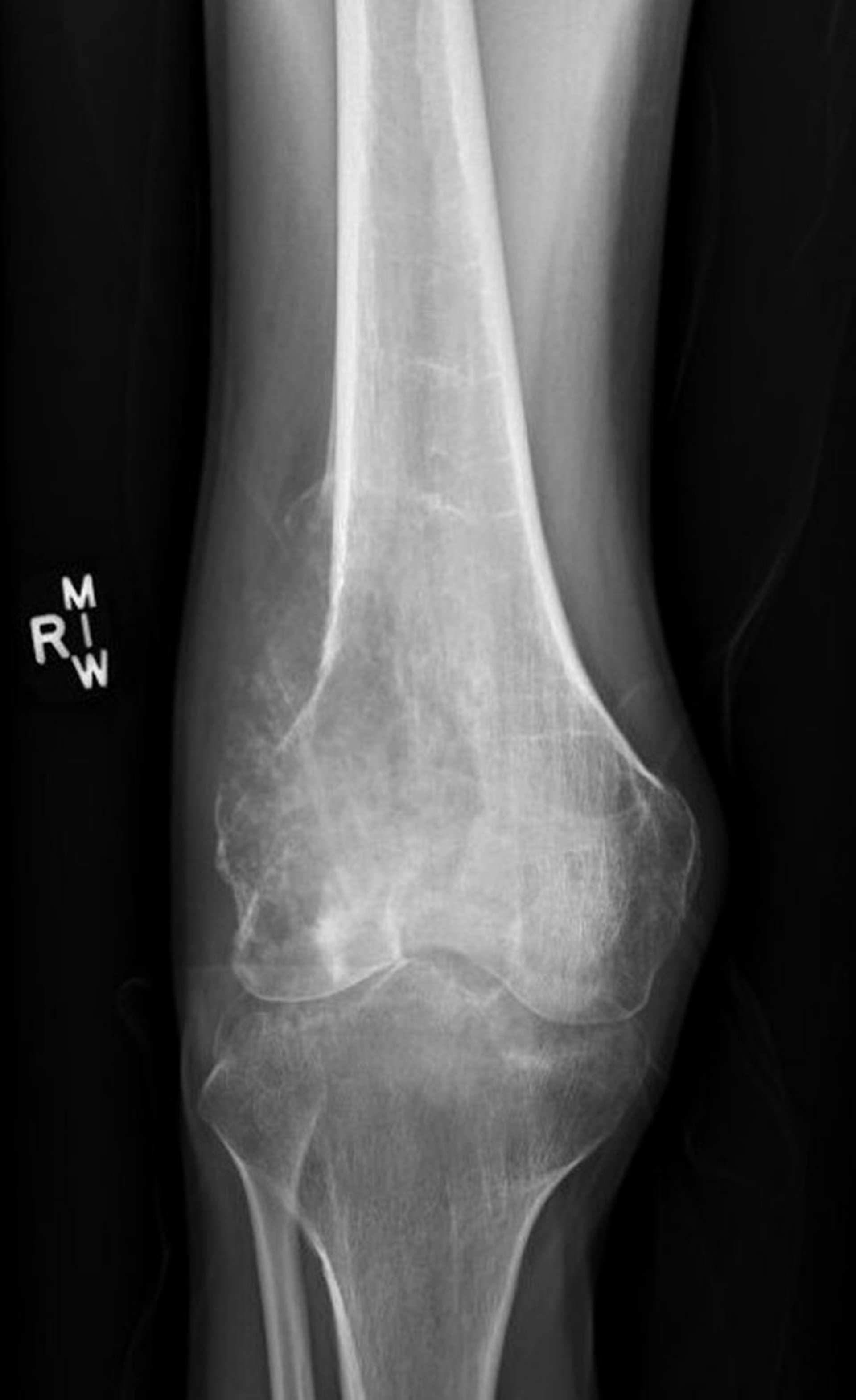
Esta radiografía de la rodilla muestra un osteosarcoma en el hueso del muslo (fémur), por encima de la rodilla.
Imagen cortesía de Lukas Nystrom, MD.