Maloclusión
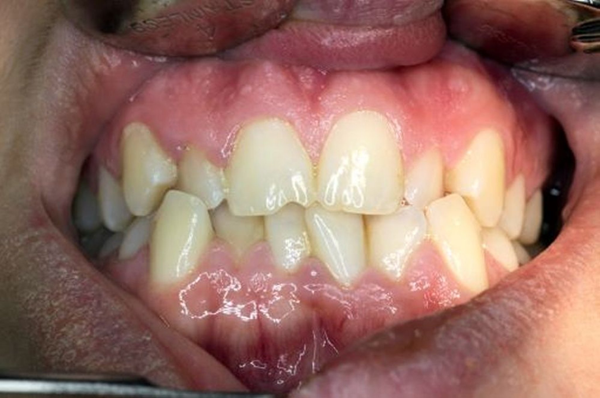
Los dientes superiores e inferiores están desalineados a medida que se cierra la mandíbula.
DR ARMEN TARANYAN/SCIENCE PHOTO LIBRARY
En estos temas
Los dientes superiores e inferiores están desalineados a medida que se cierra la mandíbula.
DR ARMEN TARANYAN/SCIENCE PHOTO LIBRARY