Gingivitis

Gingivitis

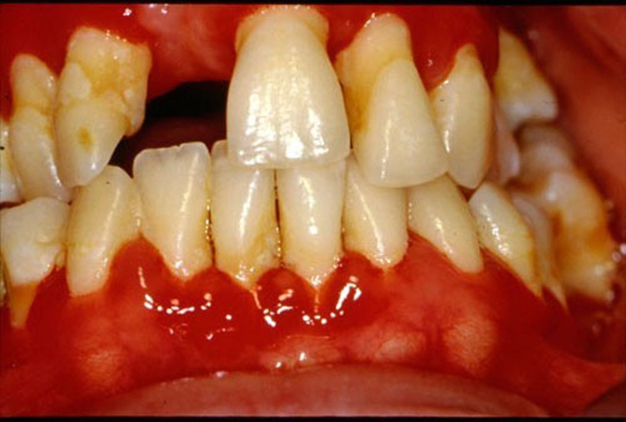
La gingivitis causa enrojecimiento e hinchazón de las encías.

Imagen proporcionada por Jonathan A. Ship, DMD.