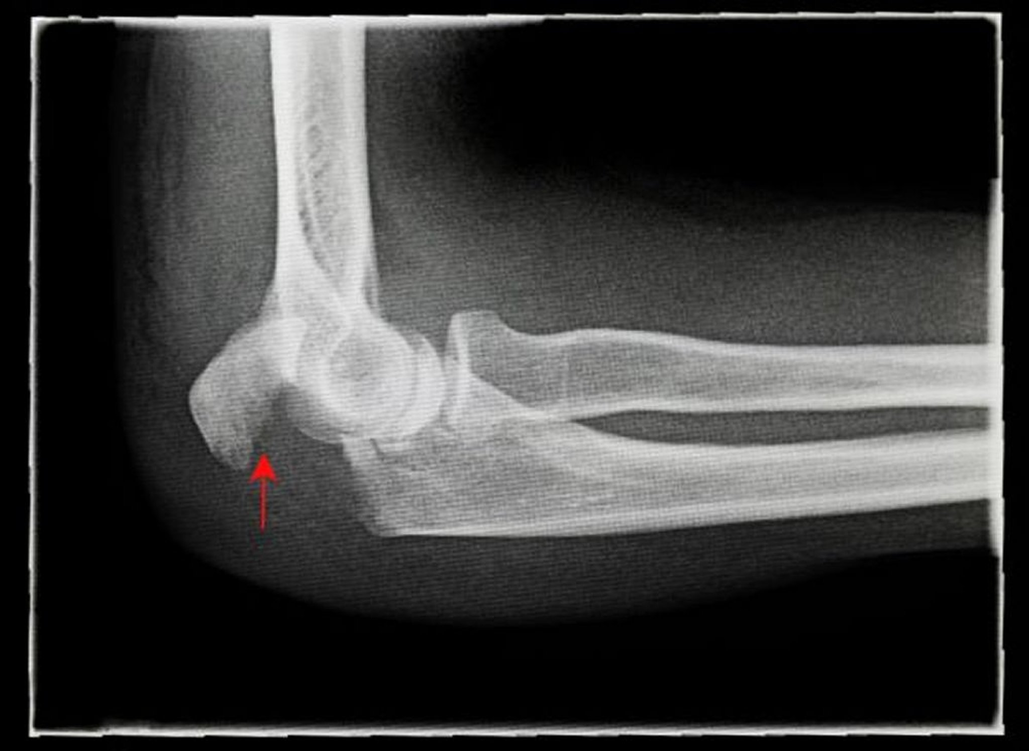
Fractura desplazada del olécranon
Esta radiografía muestra una vista lateral de una fractura desplazada del olécranon (flecha).
ANTONIA REEVE/SCIENCE PHOTO LIBRARY
En estos temas
Esta radiografía muestra una vista lateral de una fractura desplazada del olécranon (flecha).
ANTONIA REEVE/SCIENCE PHOTO LIBRARY