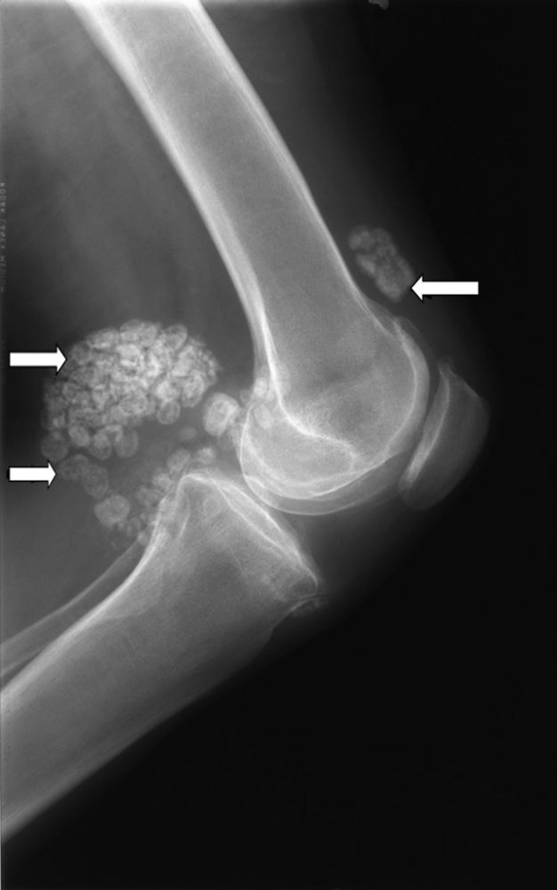
Condromatosis sinovial
Esta radiografía de la rodilla muestra múltiples acumulaciones de cartílago (flechas) conocidas como condromatosis sinovial.
Imagen cortesía de Michael J. Joyce, MD, y Hakan Ilaslan, MD.
En estos temas
Esta radiografía de la rodilla muestra múltiples acumulaciones de cartílago (flechas) conocidas como condromatosis sinovial.
Imagen cortesía de Michael J. Joyce, MD, y Hakan Ilaslan, MD.