Cáncer de estómago
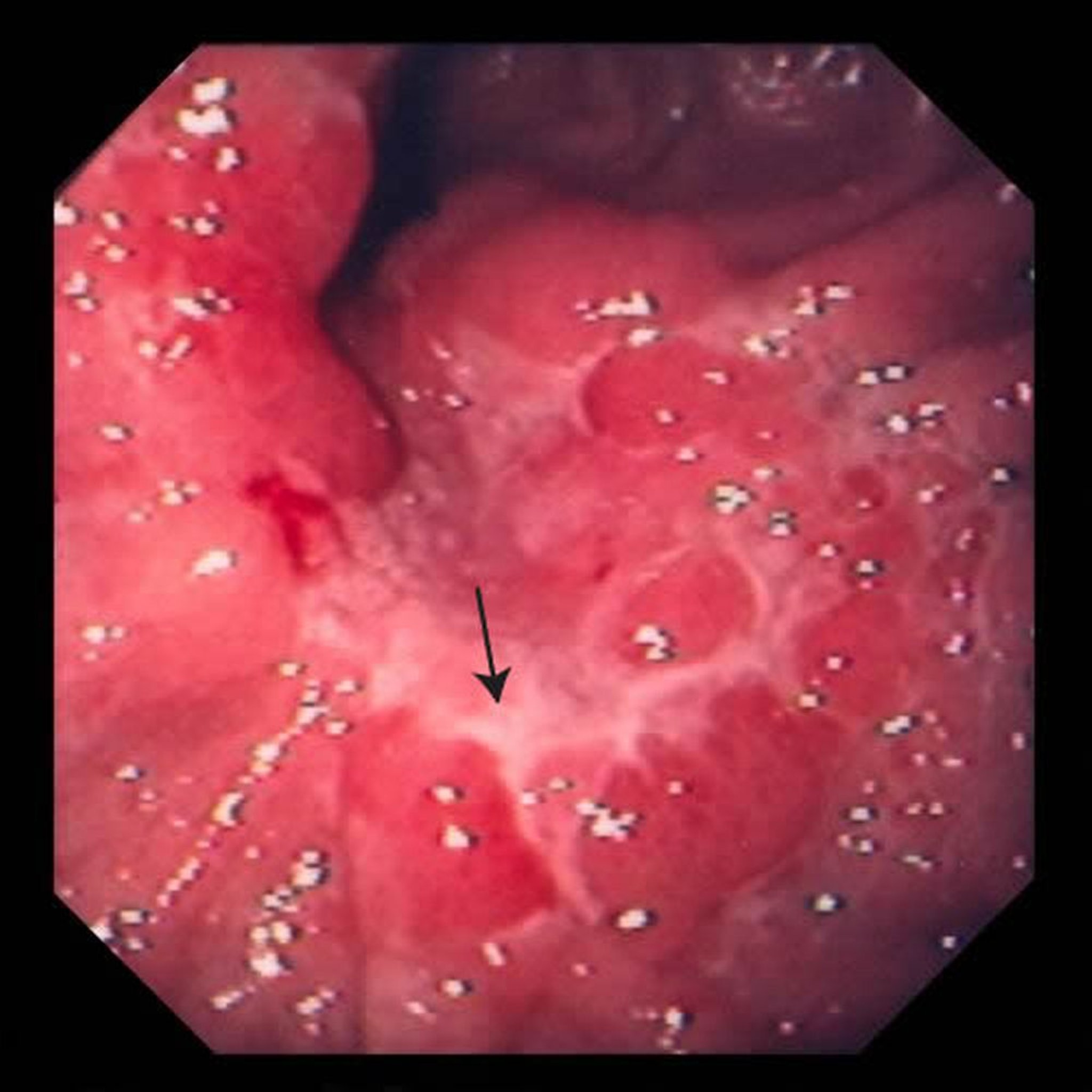
Esta imagen muestra una úlcera en el estómago (flecha). Después de una biopsia, los médicos determinaron que se trataba de un adenocarcinoma.
Imagen proporcionada por David M. Martin, MD.
En estos temas
Esta imagen muestra una úlcera en el estómago (flecha). Después de una biopsia, los médicos determinaron que se trataba de un adenocarcinoma.
Imagen proporcionada por David M. Martin, MD.