Úlcera gástrica

Úlcera gástrica

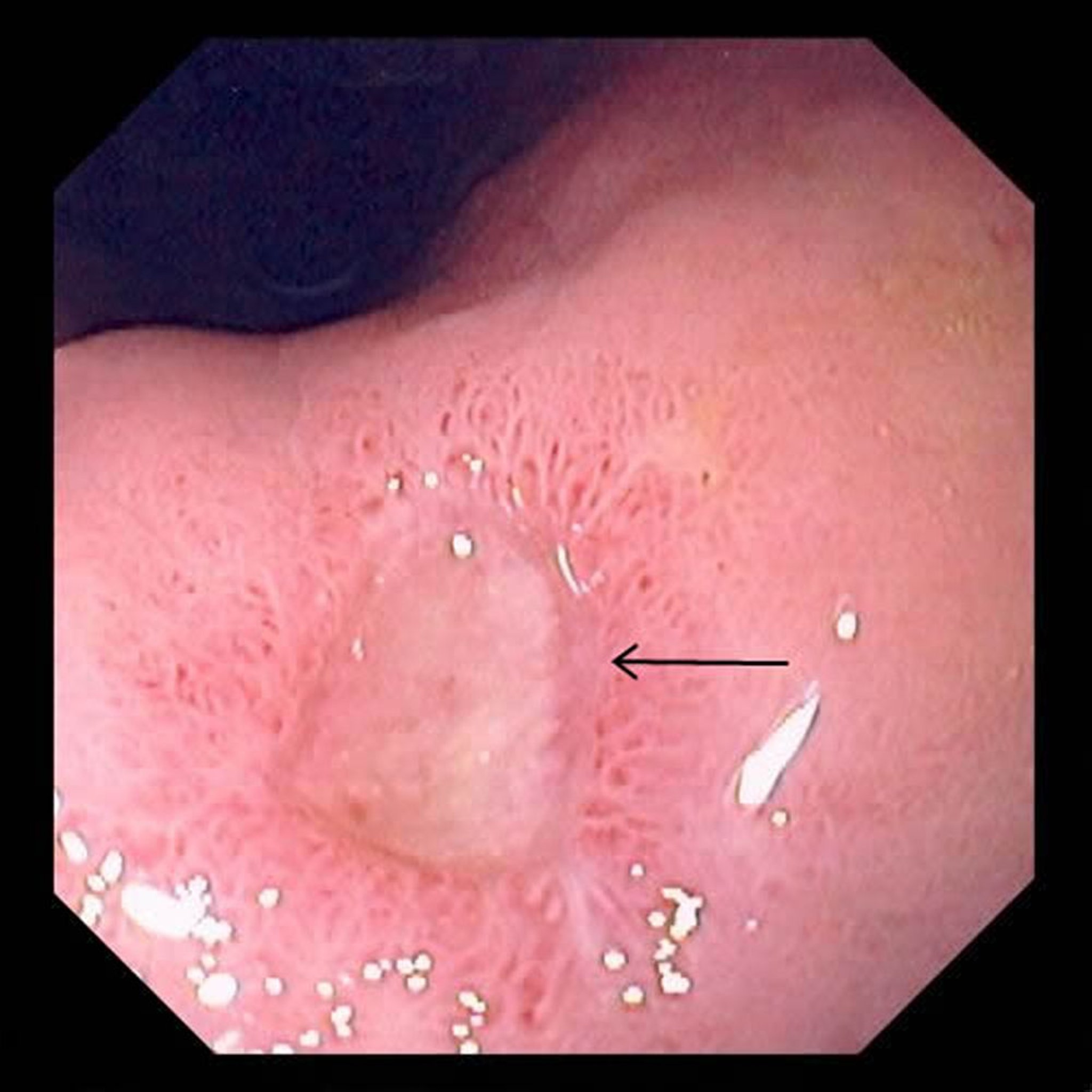
Esta foto muestra una úlcera de gran tamaño (flecha) en el estómago.

Foto proporcionada por David M. Martin, MD.