Die fokal-segmentale sklerosierende Glomerulonephritis ist eine verstreute (segmental) mesangiale Sklerose, die in einigen, aber nicht allen (fokal) Glomeruli beginnt und schließlich alle Gloeruli betrifft. Sie tritt meist idiopathisch auf, kann aber auch die Folge des Konsums von Heroin oder anderer Drogen, einer HIV-Infektion, Adipositas, Sichelzellanämie, einer atheroembolische Erkrankung oder von Nephronverlust (z. B. bei Refluxnephropathie, partieller Nephrektomie oder renale Dysgenese) sein. Sie manifestiert sich vor allem bei Jugendlichen, aber auch bei jungen Erwachsenen sowie Erwachsenen mittleren Alters. Bei den Patienten zeigt sich ein schleichender Beginn der Proteinurie, schwachen Hämaturie, von Bluthochdruck und Azotämie. Die Diagnose wird durch Nierenbiopsie bestätigt. Die Behandlung erfolgt durch Angiotensinhemmung und, bei idiopathischer Erkrankung, durch Kortikosteroide und manchmal auch durch andere Immunsuppressiva.
Die fokal-segmentale sklerosierende Glomerulonephritis (FSSGN) ist die häufigste Ursache eines idiopathischen (oder primären) nephrotischen Syndroms bei Erwachsenen in den USA. Sie ist besonders häufig bei schwarzen Männern anzutreffen (1, 2). Obwohl FSGS in der Regel idiopathisch ist, kann sie in Assoziation mit anderen Faktoren auftreten (sekundäre FSGS), darunter
Medikamente und illegale Drogen (z. B. Heroin, Lithium, Interferon alfa, Pamidronat, Ciclosporin oder nichtsteroidale Antirheumatika [die Analgetika-Nephropathie verursachen])
Atheroembolische Erkrankung, die die Nieren betrifft
Adipositas
HIV-Infektion (siehe HIV-assoziierte Nephropathie)
Erkrankungen, die zu einem Nephronverlust führen (z. B. Refluxnephropathie, subtotale Nephrektomie, Nierendysgenesie [z. B. Oligomeganephronie: Nierenhypoplasie mit einer verminderten Anzahl von Nephronen])
Es gibt familiäre Häufungen.
Bei der fokalen segmentalen Glomerulosklerose sind die glomerulären Filtrationsbarrieren für Größe und molekulare Ladung gestört, und die Proteinurie ist typischerweise nicht selektiv und betrifft sowohl Proteine mit hohem Molekulargewicht (z. B. Immunglobuline) als auch Albumin. Nieren sind in der Regel klein.
Allgemeine Literatur
1. McDonnell T, Storrar J, Chinnadurai R, et al. The epidemiology of primary FSGS including cluster analysis over a 20-year period. BMC Nephrol 2023;24(1):365. Published 2023 Dec 10. doi:10.1186/s12882-023-03405-w
2. Kitiyakara C, Kopp JB, Eggers P. Trends in the epidemiology of focal segmental glomerulosclerosis. Semin Nephrol 2003;23(2):172-182. doi:10.1053/snep.2003.50025
Symptome und Anzeichen der fokal-segmentalen Glomerulosklerose
Patienten mit fokal-segmentaler Glomerulosklerose (FSGS) weisen häufig eine starke Proteinurie, Hypertonie, Nierenfunktionsstörung, Ödeme oder eine Kombination davon auf. Manchmal ist das einzige Zeichen eine asymptomatische Proteinurie, die nicht im nephrotischen Bereich liegt (≥ 3 g/Tag). Gelegentlich liegt eine mikroskopische Hämaturie vor.
Diagnose der fokal-segmentalen Glomerulosklerose
Nierenbiopsie, wenn möglich, mit Immunfärbung und Elektronenmikroskopie
Fokal-segmentale Glomerulosklerose wird bei Patienten mit nephrotischem Syndrom, Proteinurie, oder Nierenfunktionsstörungen ohne erkennbare Ursache vermutet, vor allem bei Patienten, die Störungen haben oder illegale Drogen konsumieren oder Arzneimittel einnehmen, die im Zusammenhang mit FSGS stehen.
Bei der Urinanalyse werden Blut-Harnstoff-Stickstoff (BUN), Serumkreatinin und die 24-Stunden-Harnproteinausscheidung bzw. das Verhältnis von Spot-Harnprotein zu Kreatinin gemessen.
Gesichert wird die Diagnose durch eine Nierenbiopsie, die eine fokale und segmentale Hyalinisierung der Glomeruli zeigt, bei Immunfärbung oft mit einer IgM- und Komplement (C3)-Ablagerung in einem knotigen und grob granulären Muster. Die Elektronenmikroskopie kann eine diffuse Auslöschung von Podozyten bei idiopathischen Fällen zeigen, aber lückenhafte Auslöschungen bei sekundären Fälle. Es kann eine allgemeine Sklerose sichtbar sein, zusammen mit sekundären atrophischen Glomeruli. Die Biopsie kann falsch-negativ sein, wenn Bereiche von fokalen Veränderungen nicht abgetastet werden.
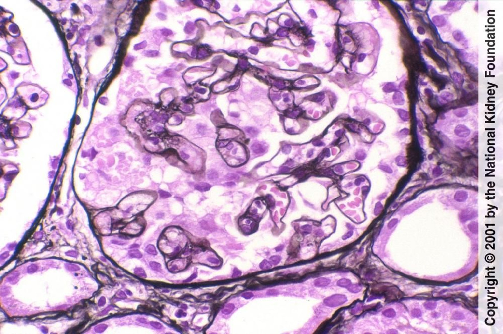
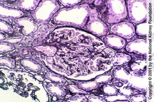
Das obere Bild zeigt die rechte Seite des Glomerulus. Der Glomerulus, der segmental sklerotisch ist, besteht aus verödeten Kapillarlumina und einer erhöhten Menge an Mesangialmatrix. Der Rest des Glomerulus ist normal (Jones-Silberfärbung, ×400). Im unteren Bild ist Hyalin, definiert als glattes, glasig aussehendes Material (das Gegenteil von Exsudation), das aus der Insudation von Plasmaproteinen resultiert. Sie tritt häufig auf und ist nicht diagnostisch (Jones-Silberfärbung, ×400).
Das obere Bild zeigt die rechte Seite des Glomerulus. Der Glomerulus, der segmental sklerotisch ist, besteht aus veröde
Image provided by Agnes Fogo, MD, and the American Journal of Kidney Diseases' Atlas of Renal Pathology (see www.ajkd.org).
Die Immunfluoreszenzfärbung mit Anti-IgM zeigt IgM im Mesangium oder in Bereichen der Hyalinose (glatte, globuläre Färbung rechts). Es wird angenommen, dass sich IgM in Bereichen mit erweitertem Mesangium und Sklerose festsetzt (×200).
Die Immunfluoreszenzfärbung mit Anti-IgM zeigt IgM im Mesangium oder in Bereichen der Hyalinose (glatte, globuläre Färb
Image provided by Agnes Fogo, MD, and the American Journal of Kidney Diseases' Atlas of Renal Pathology (see www.ajkd.org).
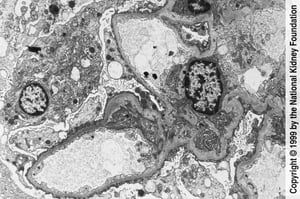
In der Transmissionselektronenmikroskopie (×3000) ist eine weitgehende Abstumpfung und Auslöschung der Podozyten zu erkennen.
In der Transmissionselektronenmikroskopie (×3000) ist eine weitgehende Abstumpfung und Auslöschung der Podozyten zu erk
Image provided by Agnes Fogo, MD, and the American Journal of Kidney Diseases' Atlas of Renal Pathology (see www.ajkd.org).
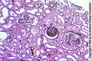
Der zentrale Glomerulus in dieser Biopsieprobe weist eine globale Sklerose auf. Der Befund ist unspezifisch und kann sich als Reaktion auf Verletzungen oder Alterung entwickeln (Jones-Silberfärbung, ×100).
Der zentrale Glomerulus in dieser Biopsieprobe weist eine globale Sklerose auf. Der Befund ist unspezifisch und kann si
Image provided by Agnes Fogo, MD, and the American Journal of Kidney Diseases' Atlas of Renal Pathology (see www.ajkd.org).
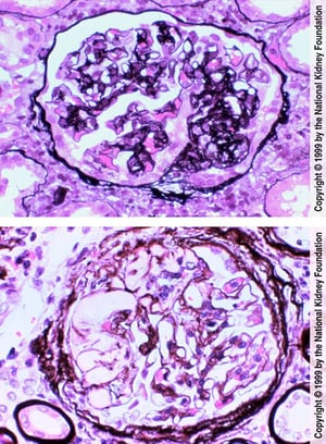
Eine "tip lesion" ist eine segmentale Sklerose, die auf den glomerulären Pol beschränkt ist, von dem der Tubulus ausgeht. Sie kann ein Marker für eine bessere Prognose sein (Jones-Silberfärbung, ×200).
Eine "tip lesion" ist eine segmentale Sklerose, die auf den glomerulären Pol beschränkt ist, von dem der Tubulus ausgeh
Image provided by Agnes Fogo, MD, and the American Journal of Kidney Diseases' Atlas of Renal Pathology (see www.ajkd.org).
Behandlung der fokal-segmentalen Glomerulosklerose
Angiotensinhemmung
Kortikosteroide und manchmal andere Immunsuppressiva bei idiopathischer fokaler segmentaler Glomerulonephritis (FSGS)
Nierentransplantation bei Patienten mit Nierenversagen
Die Behandlung ist oft nicht erfolgreich. Patienten mit FSGS sollten mittels Angiotensinhemmung (mit einem Angiotensin-konvertierendes-Enzym-Hemmer [ACE-Hemmer] oder einem Angiotensin-II-Rezeptorblocker [ARB]) behandelt werden, es sei denn, es liegt eine Kontraindikation durch Angioödem oder Hyperkaliämie vor (1). Patienten mit nephrotischem Syndrom sollten mit einem Statin behandelt werden.
Bei idiopathischer FSGS ist der Versuch einer immunsuppressiven Therapie indiziert, wenn die Proteinurie den nephrotischen Bereich erreicht, oder wenn sich die Nierenfunktion verschlechtert, vor allem wenn die Nierenbiopsie eine "tip lesion" zeigt. Im Gegensatz dazu werden Patienten mit sekundärer FSGS, "collapsing FSGS" oder fortgeschrittener tubulointerstitialen Fibrose bei der Nierenbiopsie in der Regel nicht mit Immunsuppression behandelt, weil sie dazu neigen, nicht anzusprechen. Stattdessen wird die primäre Störung behandelt.
Immunsuppressive Therapie
Hochdosierte Kortikosteroide werden für mindestens 2 Monate empfohlen, obwohl einige Experten eine Anwendung für bis zu 9 Monate empfehlen (2). Ansprechraten von 30–70% wurden bei verlängerter Therapie verzeichnet und variieren je nach der histologischen Klassifikation der FSGS (3). Nach einer 2-wöchigen Remission der Proteinurie wird das Kortikosteroid langsam ausgeschlichen. Sekundäre und familiäre Fälle, "collapsing FSGS" und erweiterte tubulointerstitiale Fibrose sind eher kortikosteroidresistent.
Tritt unter der Kortikosteroidtherapie nur eine leichte Besserung oder ein Rückfall auf, kann eine Remission mit einem Calcineurin-Inhibitor (z. B. Cyclosporin oder Tacrolimus) für mindestens 6 Monate herbeigeführt werden. Obwohl andere Calcineurin-Inhibitoren bei FSGS besser untersucht wurden als Tacrolimus, bevorzugen einige Ärzte Tacrolimus, da es häufig bei anderen glomerulären Erkrankungen eingesetzt wird und ein geringeres Risiko kosmetischer Nebenwirkungen (z. B. Hirsutismus, Zahnfleischhyperplasie) besteht. In ausgewählten Fällen kann alternativ auch Mycophenolatmofetil eingesetzt werden (3).
Bei Patienten mit Kontraindikationen für hochdosierte Kortikosteroide (z. B. Diabetes, Osteoporose) kann ein Calcineurin-Inhibitor zusammen mit einer niedrigeren Kortikosteroiddosis verabreicht werden.
Eine Alternative ist Plasmaaustausch in Kombination mit einer Immunsuppression.
Literatur zur Behandlung
1. Beer A, Mayer G, Kronbichler A. Treatment Strategies of Adult Primary Focal Segmental Glomerulosclerosis: A Systematic Review Focusing on the Last Two Decades. Biomed Res Int 2016;2016:4192578. doi:10.1155/2016/4192578
2. Korbet SM. Treatment of primary FSGS in adults. J Am Soc Nephrol 2012;23(11):1769-1776. doi:10.1681/ASN.2012040389
3. Kidney Disease: Improving Global Outcomes (KDIGO) Glomerular Diseases Work Group. KDIGO 2021 Clinical Practice Guideline for the Management of Glomerular Diseases. Kidney Int 100(4S):S1-S276, 2021. doi:10.1016/j.kint.2021.05.021
Prognose der fokal-segmentalen Glomerulosklerose
Die Prognose ist schlecht. Spontanremissionen kommen bei < 10% der Patienten vor. Nierenversagen tritt bei etwa der Hälfte der Patienten innerhalb von 8 Jahren auf; bei einigen, insbesondere bei Patienten mit erheblicher tubulointerstitieller Fibrose, tritt Nierenversagen trotz Behandlung viel schneller auf (1). Die Störung schreitet bei Erwachsenen schneller fort als bei Kindern.
Das Vorkommen der segmentalen Sklerose, vornehmlich am glomerulären Pol, an dem der Tubulus entspringt (tip lesion), kann auf eine günstigere Reaktion auf eine Kortikosteroidtherapie hindeuten. Eine andere Variante, bei der die Kapillarwände gefältelt oder kollabiert sind ("collapsing fokal-segmentaler Glomerulosklerose", die typisch im Zusammenhang mit IV Drogenmissbrauch oder HIV-Infektion ist), lässt auf eine ernstere Krankheit schließen und einen schnelleren Progress zum Nierenversagen erwarten. Eine Schwangerschaft kann die FSSGN verschlechtern.
Die FSSGN kann nach Nierentransplantation rezidivieren. Die Proteinurie tritt manchmal schon wenige Stunden nach der Transplantation auf. Von den Patienten, deren Transplantation auf Nierenversagen durch FSGS zurückzuführen war, verlieren bis zu 40% ihr Transplantat aufgrund rezidivierender FSGS innerhalb von 5 Jahren; das Risiko ist am höchsten bei jüngeren Patienten, bei nicht-schwarzen Patienten, bei solchen, die < 3 Jahre nach Krankheitsbeginn ein Nierenversagen entwickeln, bei mesangialer Proliferation sowie bei Re-Transplantationen, wenn vor der ersten Transplantation eine primäre FSGS diagnostiziert wurde (2). Familiäre Formen der FSGS rezidivieren nach der Transplantation seltener.
Faltenbildung oder Kollaps des glomerulären Büschels, hier begleitet von mikrozystischer Dilatation der Tubuli, kann bei fokal-segmentaler Glomerulosklerose oder HIV-assoziierter Nephropathie auftreten und ist ein Marker für eine ungünstige Prognose (Jones-Silberfärbung, ×400).
Image provided by Agnes Fogo, MD, and the American Journal of Kidney Diseases' Atlas of Renal Pathology (see www.ajkd.org).
Bei Menschen, die Heroin konsumieren und aufgrund von fokaler segmentaler Glomerulonephritis ein nephrotisches Syndrom entwickeln, kann es zu einer vollständigen Remission kommen, wenn sie die Einnahme von Heroin in einem frühen Stadium der Krankheit einstellen.
Literatur zur Prognose
1. Korbet SM. Clinical picture and outcome of primary focal segmental glomerulosclerosis. Nephrol Dial Transplant 1999;14 Suppl 3:68-73. doi:10.1093/ndt/14.suppl_3.68
2. Uffing A, Pérez-Sáez MJ, Mazzali M, et al. Recurrence of FSGS after Kidney Transplantation in Adults. Clin J Am Soc Nephrol 2020;15(2):247-256. doi:10.2215/CJN.08970719
Wichtige Punkte
Eine fokal-segmentale Glomerulosklerose (FSGS) sollte vermutet werden, wenn Patienten unter einem nephrotischen Syndrom, Proteinurie, oder Nierenfunktionsstörungen ohne erkennbare Ursache leiden, insbesondere Patienten, die Störungen haben oder illegale Drogen konsumieren oder Medikamente einnehmen, die mit FSGS im Zusammenhang stehen.
Wenn möglich, sollte die FSGS durch Nierenbiopsie mit Immunfärbung und Elektronenmikroskopie bestätigt werden.
Erwägen Sie eine Behandlung mit Kortikosteroiden und möglicherweise einem Calcineurin-Inhibitor (z. B. Cyclosporin oder Tacrolimus) oder alternativ Mycophenolatmofetil, wenn die FSGS idiopathisch ist und die Proteinurie den nephrotischen Bereich erreicht oder sich die Nierenfunktion verschlechtert.



