Verstauchung des Sprunggelenks mit Instabilität
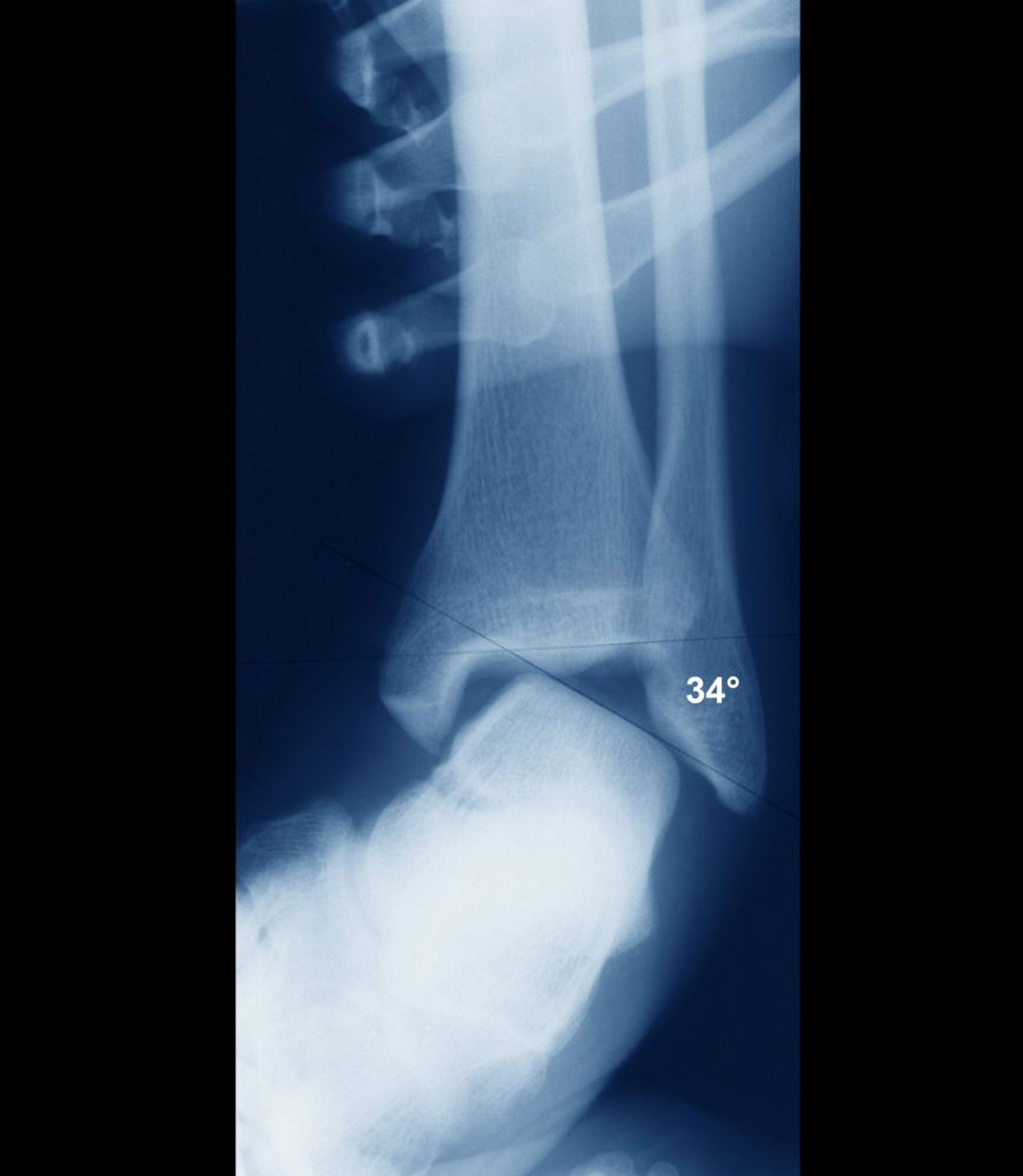
Wenn das Sprunggelenk stabil ist, sollten die intraartikulären Oberflächen von Talus und Tibia parallel verlaufen. Hier sind sie weitgehend falsch ausgerichtet, was auf eine grobe Gelenkinstabilität hinweist. Die Instabilität wäre klinisch klar erkennbar gewesen, und die Instabilität wird normalerweise klinisch beurteilt, ohne dass Röntgenaufnahmen erforderlich sind.
ZEPHYR/SCIENCE PHOTO LIBRARY
In diesen Themen
