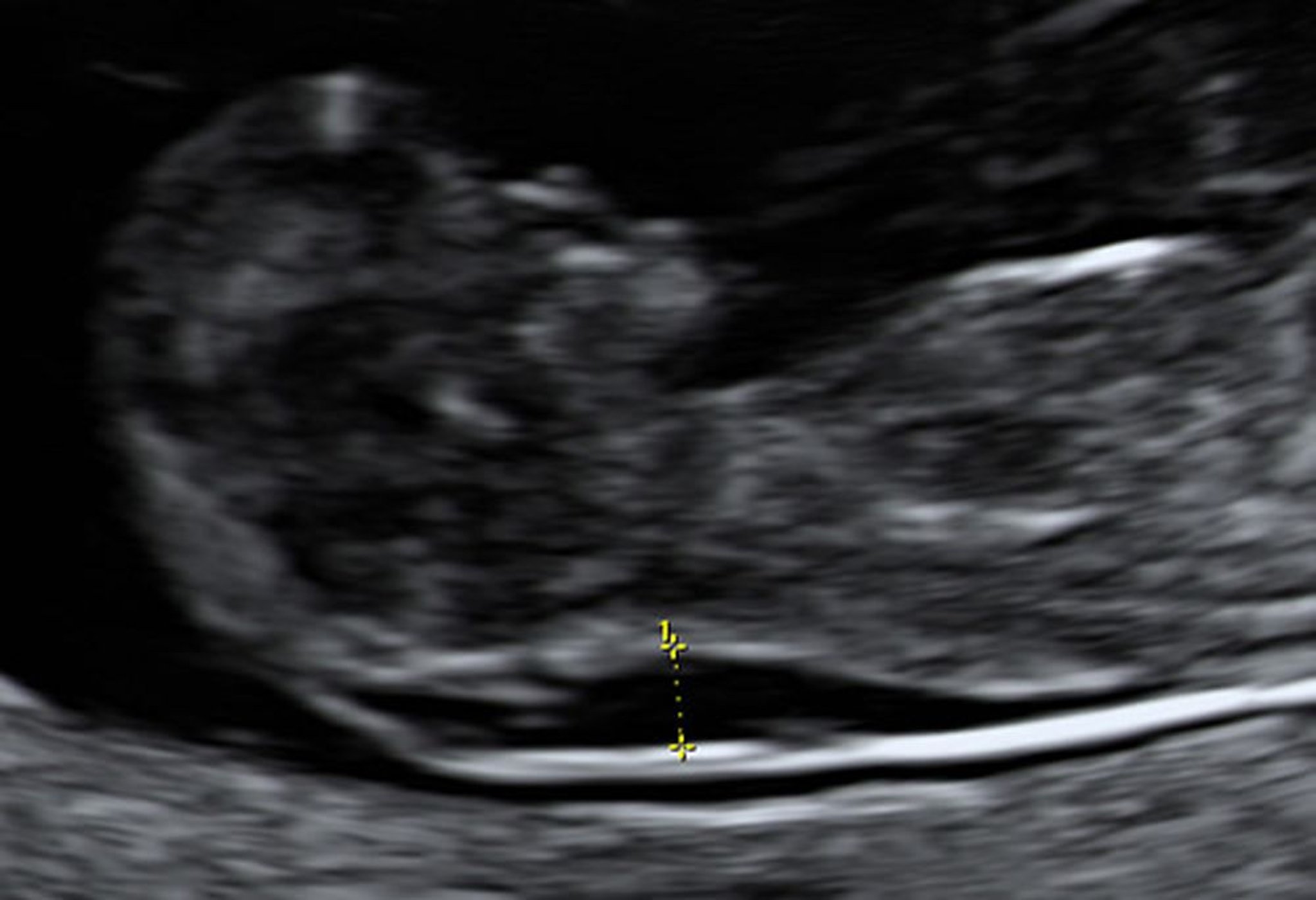
Ultraschalluntersuchung mit vergrößerter Nackentransparenz bei einem Fetus in der 10. Woche
Eine Chorionzottenbiopsie ergab, dass dieser Fetus das Down-Syndrom hatte.
Foto von Jeffrey S. Dungan, MD.
In diesen Themen
Eine Chorionzottenbiopsie ergab, dass dieser Fetus das Down-Syndrom hatte.
Foto von Jeffrey S. Dungan, MD.