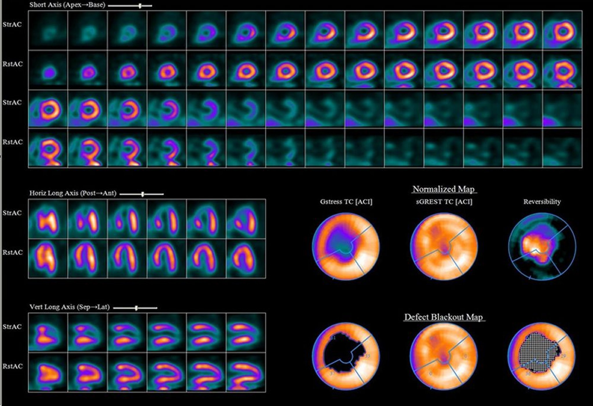
SPECT bei der kürzlich eingetretenen Angina pectoris
Stress- und Ruhebilder aus der Einphotonenemissions-Computertomographie (SPECT) eines 52-jährigen Mannes mit vor kurzem auftretender Angina pectoris. Bilder, die während einer Belastung erhalten wurden (Reihen von Bildern oder Polarkarten, die als Str oder Stress bezeichnet werden), zeigen einen großen Bereich der Ischämie in dem Gebiet, das von der linken anterior absteigenden (LAD) Arterie gespeist wird und in Ruhe fehlt (Reihen von Bildern oder Polarkarten, bezeichnet als Rst oder Rest). Die Angiographie bestätigte eine 95 bis 99% ige Okklusion, bei der die LAD am ersten Diagonalast verzweigt wurde. Die Stressbilder zeigen eine geringere Aufnahme (mehr violett oder matt) als die hellen Bereiche in Ruhe.
Abbildung zur Verfügung gestellt von James R. Corbett, MD.
