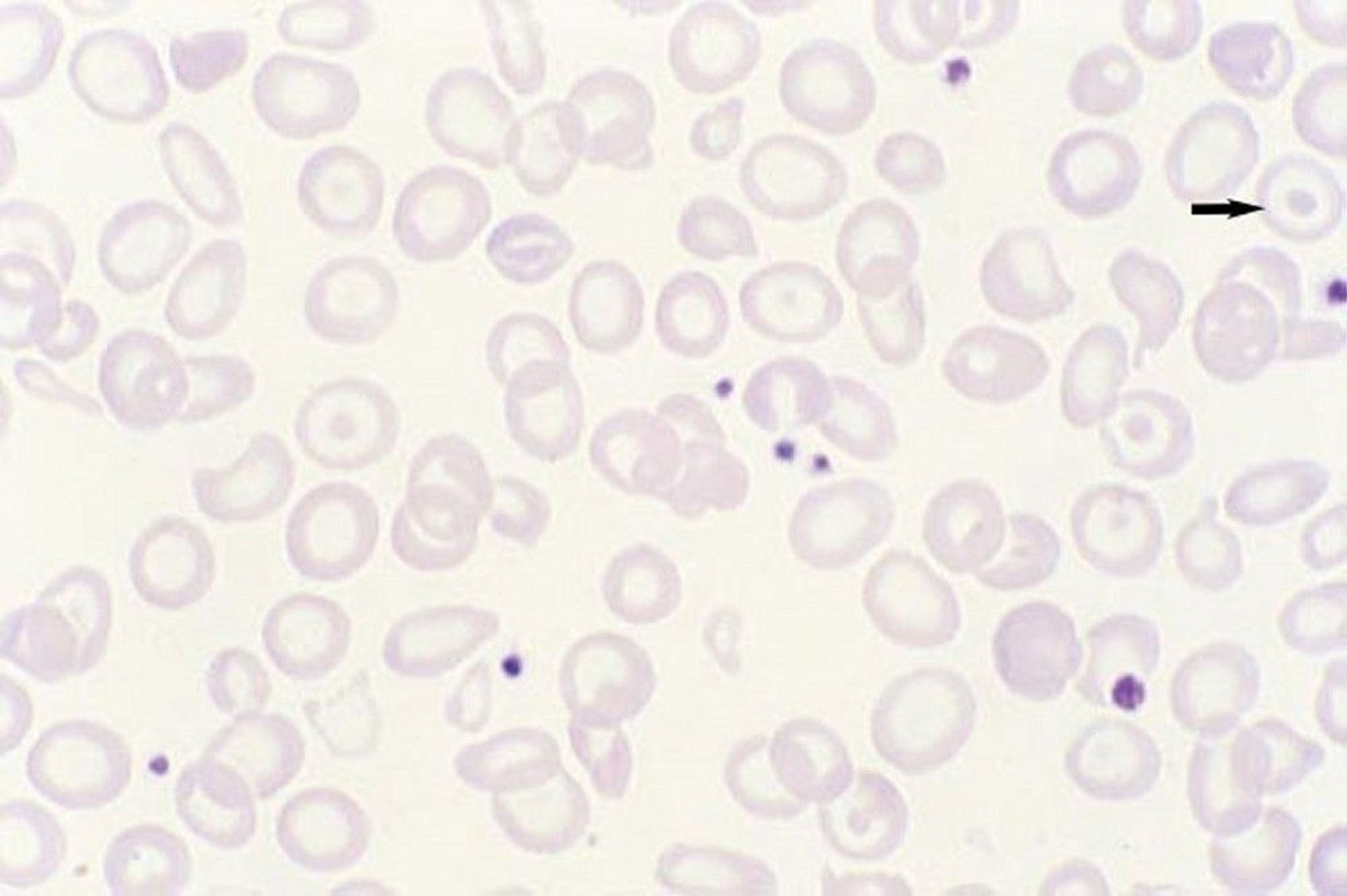
Schießscheibenzellen
Zielzellen (dünne Erythrozyten mit einem zentralen Hämoglobinpunkt; Pfeil) sind auf ein Ungleichgewicht zwischen Zellvolumen und Hämoglobingehalt zurückzuführen und kennzeichnen Thalassämie und andere Hämoglobinopathien (z. B. Hämoglobin-C-Krankheit und Hämoglobin-S-C-Krankheit), können aber auch nach Splenektomie und bei Lebererkrankungen auftreten.
By permission of the publisher. From Tefferi A, Li C. In Atlas of Clinical Hematology. Edited by JO Armitage. Philadelphia, Current Medicine, 2004.
In diesen Themen
