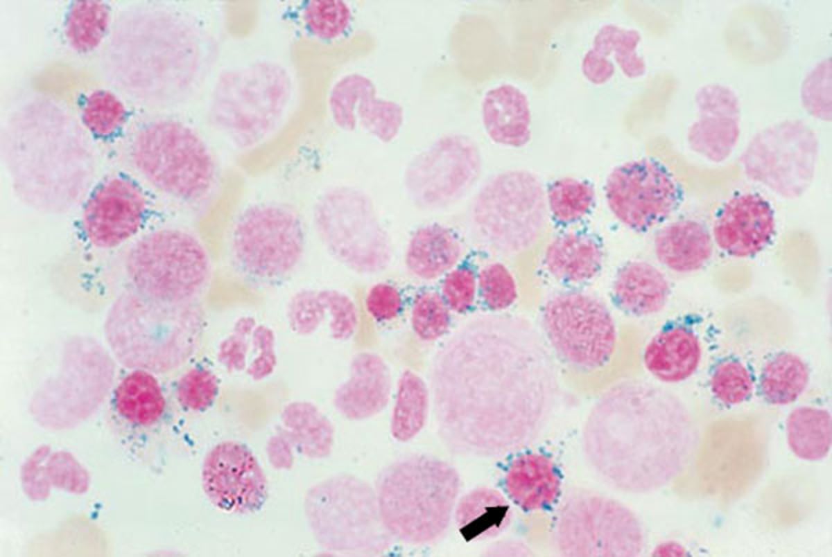
Ringsideroblasten bei sideroblastischer Anämie
Bei der sideroblastischen Anämie sind Ringsideroblasten im Knochenmark zu sehen (Pfeil). Ringsideroblasten sind erythroide Vorstufen, deren Mitochondrien (um den Zellkern herum) mit Nicht-Häm-Eisen beladen sind.
By permission of the publisher. From Tefferi A, Li C. In Atlas of Clinical Hematology. Edited by JO Armitage. Philadelphia, Current Medicine, 2004.
In diesen Themen
