Röntgenthorax eines Patienten nach koronarer Bypass-Operation
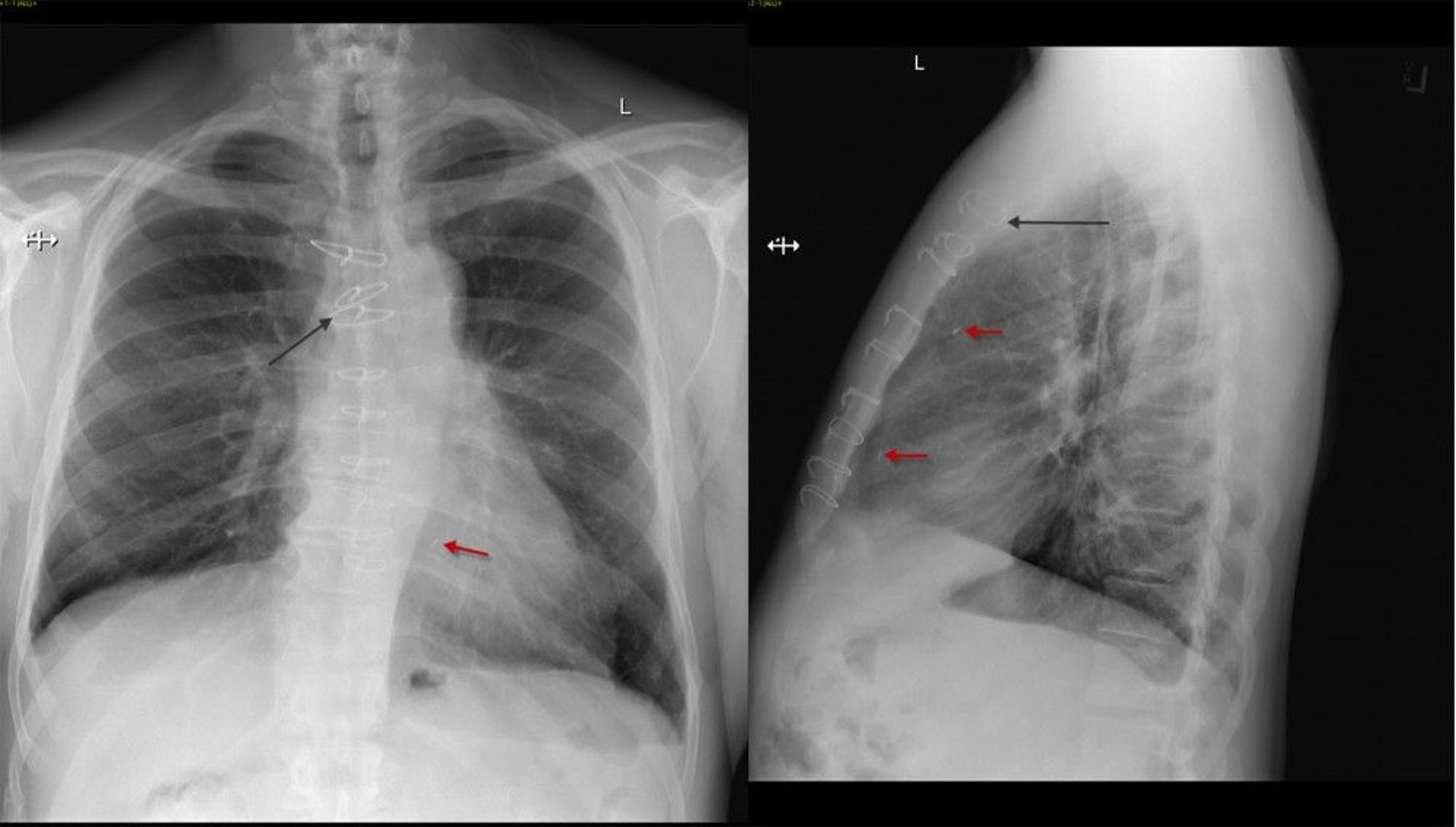
Frontale und laterale Thoraxröntgenaufnahme eines Patienten nach koronarer Bypass-Operation mit Sternumnähten (schwarzer Pfeil) und chirurgischen Clips (roter Pfeil).
© 2017 Elliot K. Fishman, MD.
In diesen Themen
