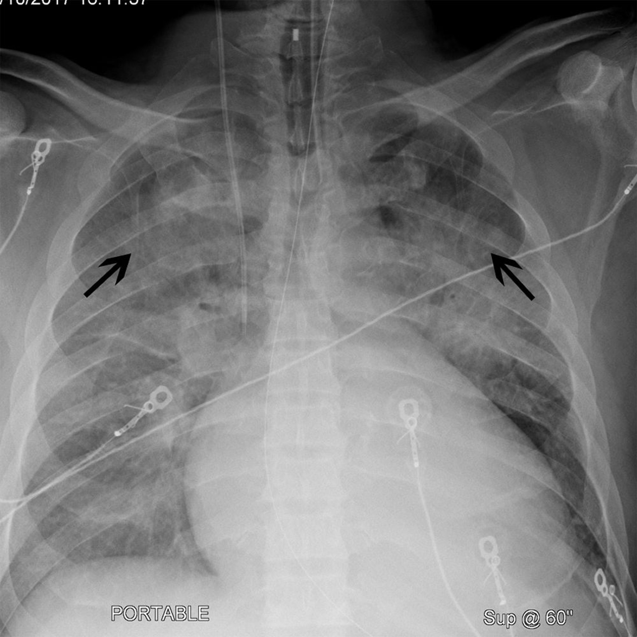
Röntgenthorax eines Patienten mit Kardiomegalie und Kephalisation
Dieser Patient hat eine Kardiomegalie (die Breite der Herzsilhouette beträgt > 50% des Thorax auf einer posterior-anterioren Röntgenaufnahme). Der Patient hat auch eine Kephalisation (schwarze Pfeile), wodurch die Lungengefäße des Oberlappens prominenter hervortreten. Diese Befunde werden häufig bei Patienten mit Herzinsuffizienz beobachtet.
© 2017 Elliot K. Fishman, MD.
In diesen Themen
