Röntgenaufnahme des Thorax
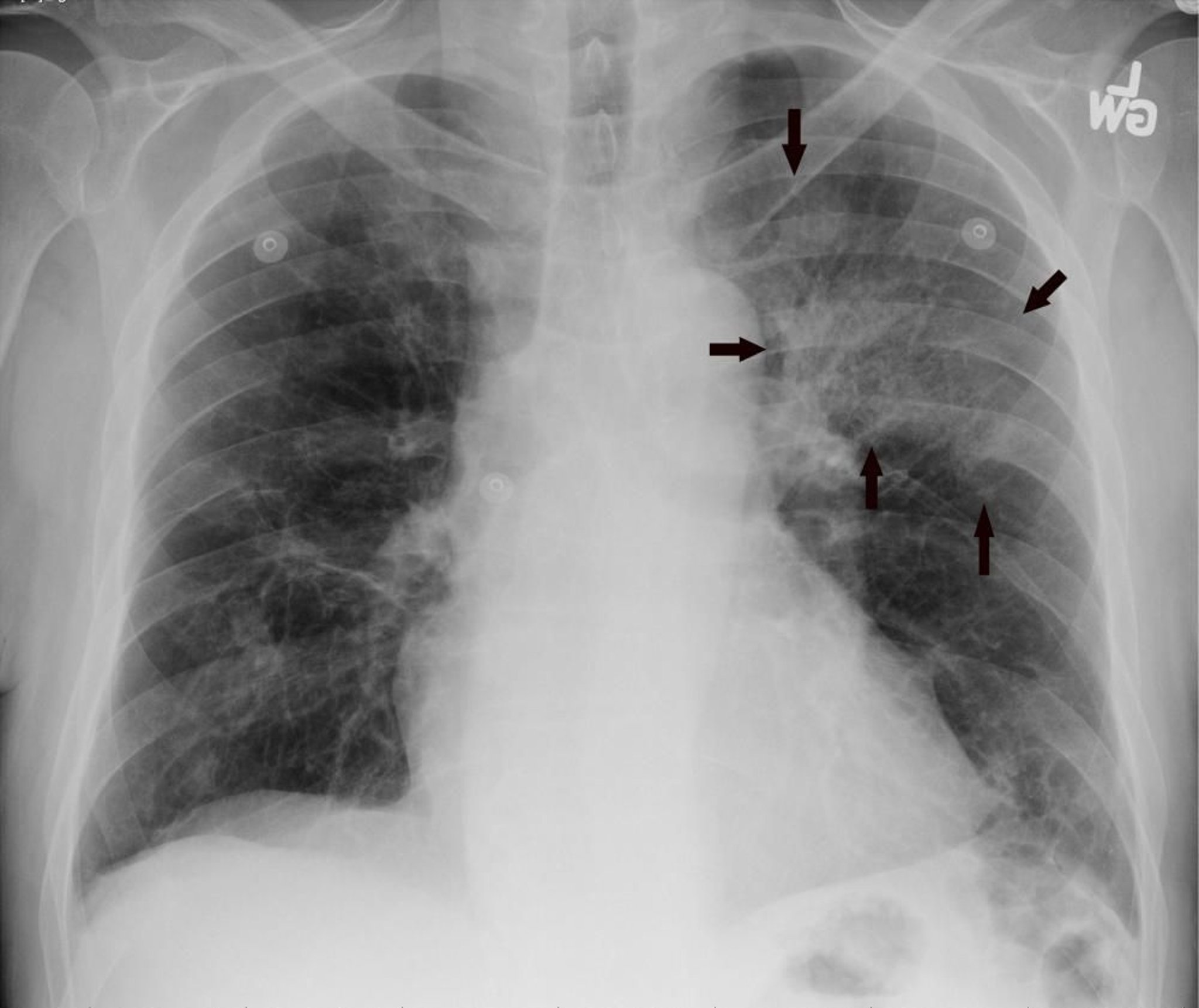
Die posteroanteriore Röntgenaufnahme des Thorax zeigt ein Infiltrat des linken Oberlappens, das auf eine Pneumonie hinweist (Pfeile).
Image courtesy of Hakan Ilaslan, MD.
In diesen Themen
Die posteroanteriore Röntgenaufnahme des Thorax zeigt ein Infiltrat des linken Oberlappens, das auf eine Pneumonie hinweist (Pfeile).
Image courtesy of Hakan Ilaslan, MD.