Polymikrogyrien mit septisch-optischer Dysplasie
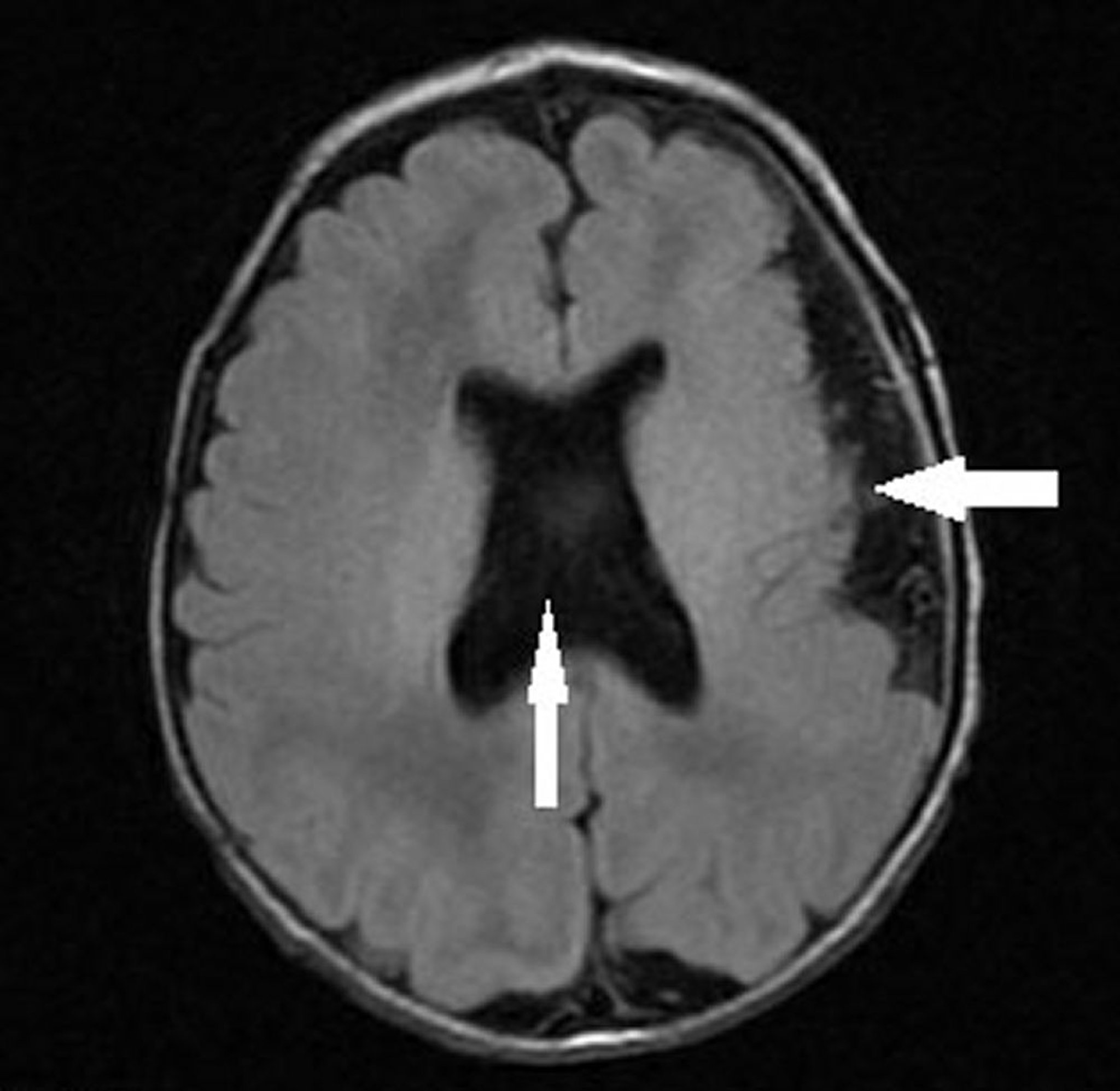
Dieses Abbild zeigt einen Säugling mit linkshemisphärischer Polymikrogyrie (Pfeil nach links) und fehlendem Septum pellucidum mit abnormaler Ventrikelkonfiguration (vertikaler Pfeil), die mit einer septo-optischen Dysplasie (Hypoplasie des Sehnervs, fehlendes oder abnormales Septum pellucidum und Hypophysenhypoplasie) einhergeht.
Image courtesy of Stephen J. Falchek, MD.
In diesen Themen
