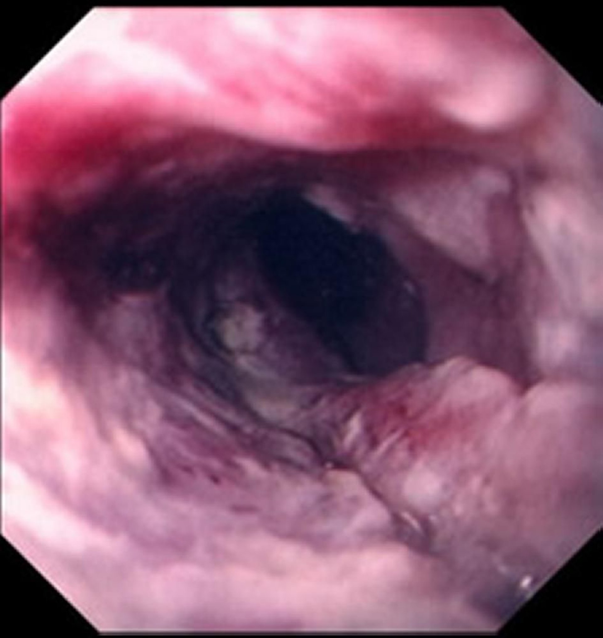
Plattenepithelkarzinom des Ösophagus
Plattenepithelkarzinome manifestieren sich typischerweise als ulzerierte, zerklüftete Masse, die das Lumen der Speiseröhre beeinträchtigt.
Images provided by David M. Martin, MD.
In diesen Themen
Plattenepithelkarzinome manifestieren sich typischerweise als ulzerierte, zerklüftete Masse, die das Lumen der Speiseröhre beeinträchtigt.
Images provided by David M. Martin, MD.