Patellaluxationen (Röntgenbild)

Patellaluxationen (Röntgenbild)

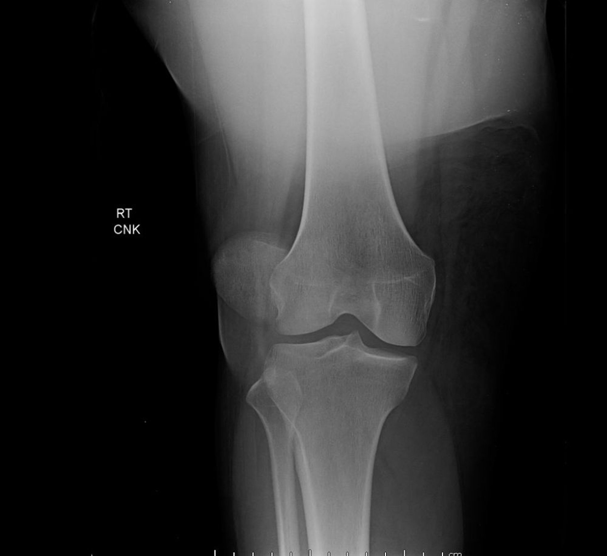
Diese anteroposteriore Ansicht des Knies zeigt eine Patellaluxation, die durch eine extreme seitliche Verschiebung der Patella außerhalb ihrer normalen Lage zwischen den Femurkondylen gekennzeichnet ist.

Image courtesy of Danielle Campagne, MD.

In diesen Themen