Olekranonfraktur
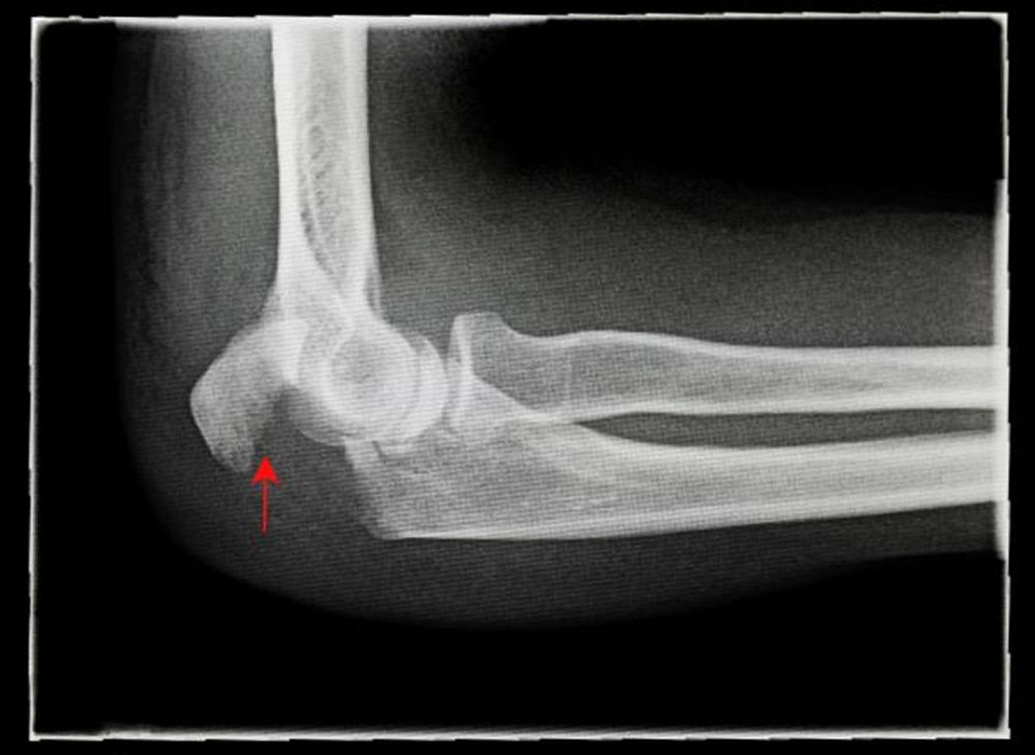
Diese laterale Röntgenaufnahme zeigt eine dislozierte Olekranonfraktur (Pfeil).
Credit line: ANTONIA REEVE/SCIENCE PHOTO LIBRARY
In diesen Themen
Diese laterale Röntgenaufnahme zeigt eine dislozierte Olekranonfraktur (Pfeil).
Credit line: ANTONIA REEVE/SCIENCE PHOTO LIBRARY