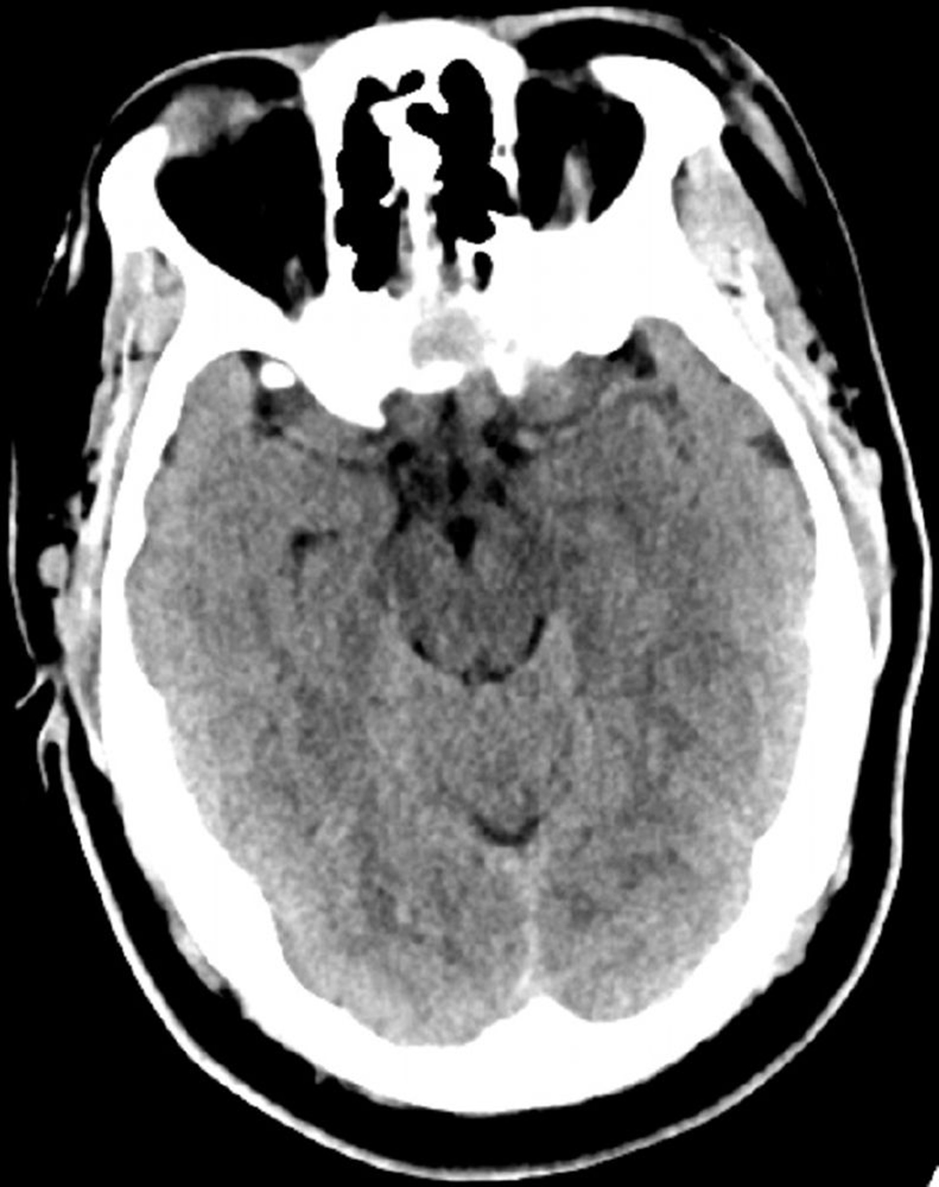
Normaler Kopf CT-Scan (Erwachsene, Alter 30) – Folie 6
Dieses Bild ist ein normaler CT-Scan des Kopfes eines jungen Erwachsenen im Alter von 30 Jahren. Es gibt keine intra- oder extraaxiale Flüssigkeit oder Blutung. Die grauweiße Unterscheidung bleibt erhalten. Ventrikuläre Größe und Sulcalmuster sind normal.
© 2017 Elliot K. Fishman, MD.
In diesen Themen
