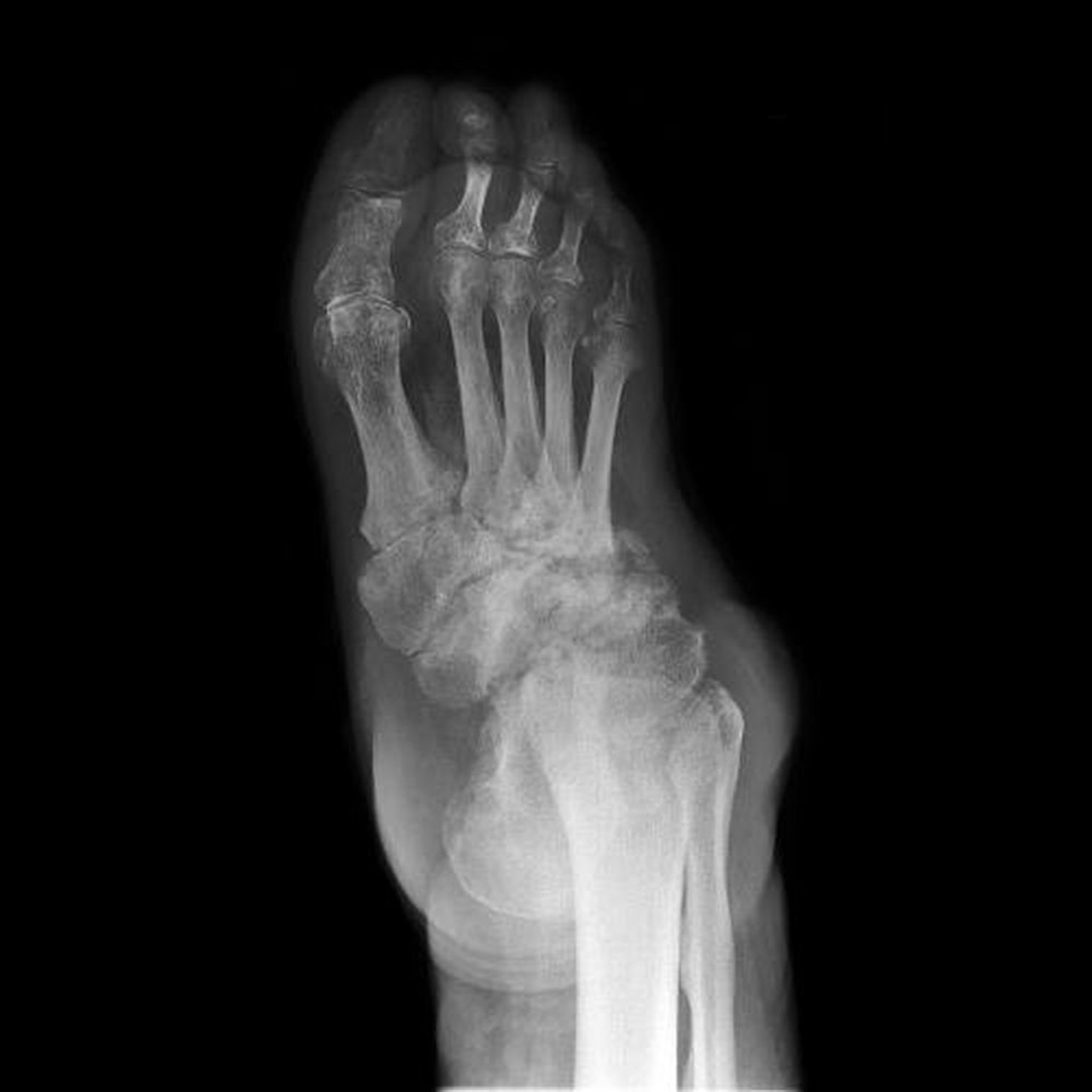
Neuropathische Arthropathie des Fußes
Diese Röntgenaufnahme zeigt eine neuropathische Arthropathie des Fußes (auch bekannt als Charcot-Fuß). Zerstörung, Deformitäten und Verlust von Gelenkräumen der Tarsalknochen sind umfangreich.
SCIENCE PHOTO LIBRARY
In diesen Themen
