Myelomniere
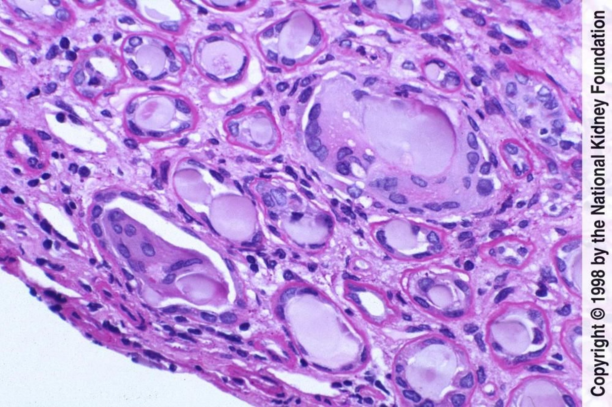
Das Nierenmyelom ist eine tubulointerstitielle Erkrankung, die durch Ablagerungen von Leichtketten und obstruktive Gussbildung in den Nierentubuli verursacht wird. Die Biopsieprobe zeigt tubuläre Ablagerungen mit umgebender synzytärer Riesenzellreaktion, chronische tubulointerstitielle Nephritis mit lymphozytärem Infiltrat und Fibrose (periodische Säure-Schiff-Färbung, ursprüngliche Vergrößerung ×400).
Image provided by Agnes Fogo, MD, and the American Journal of Kidney Diseases' Atlas of Renal Pathology (see www.ajkd.org).
In diesen Themen
