Morbus Kienböck (schräge Röntgenaufnahme)
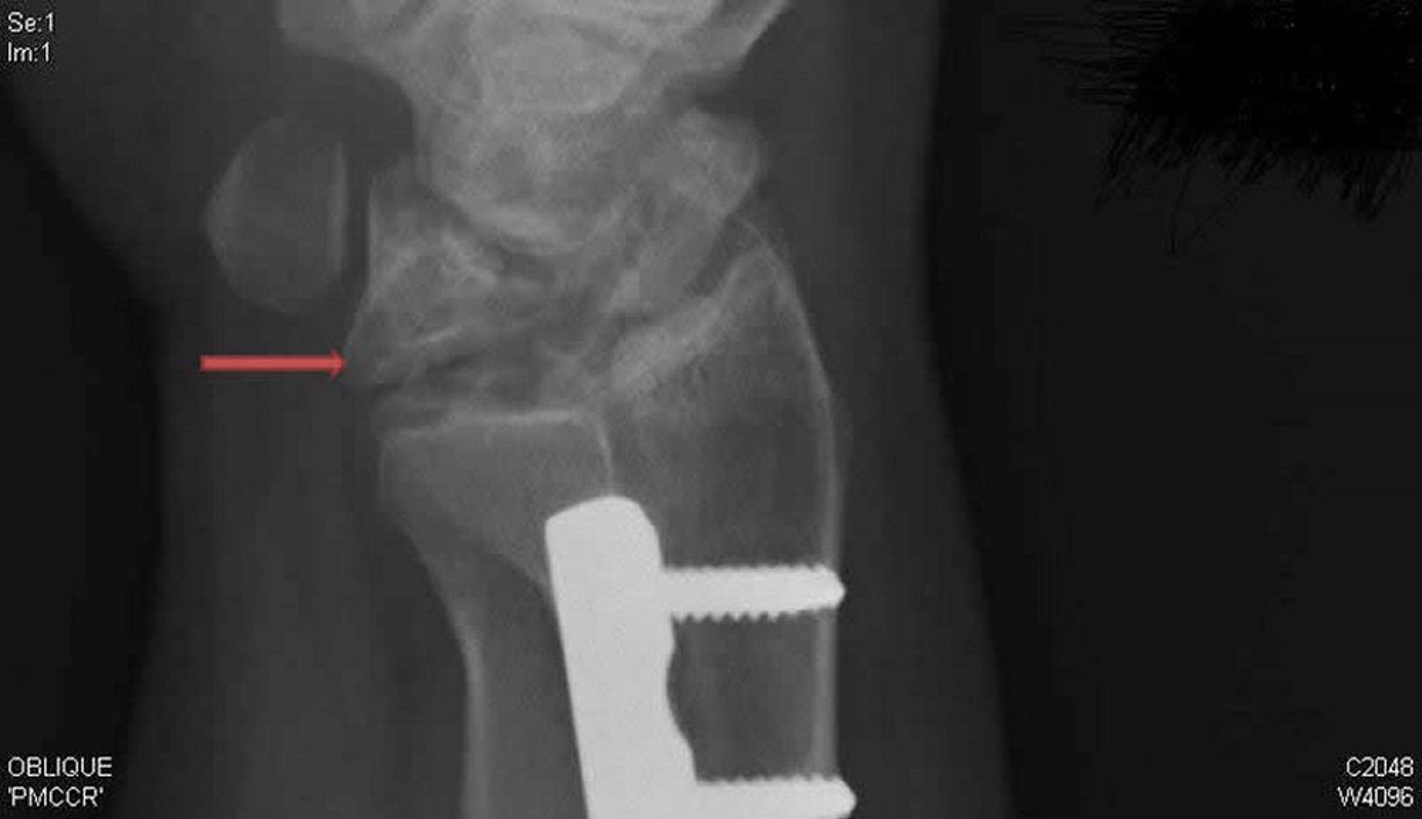
Diese schräge Röntgenaufnahme des rechten Handgelenks zeigt die Kienböck-Krankheit. Beachten Sie den Kollaps und die Fragmentierung des Os lunatum (Pfeil), die in der posteroanterioren Ansicht nicht erkennbar war.
X-ray courtesy of David R. Steinberg, MD.
In diesen Themen
