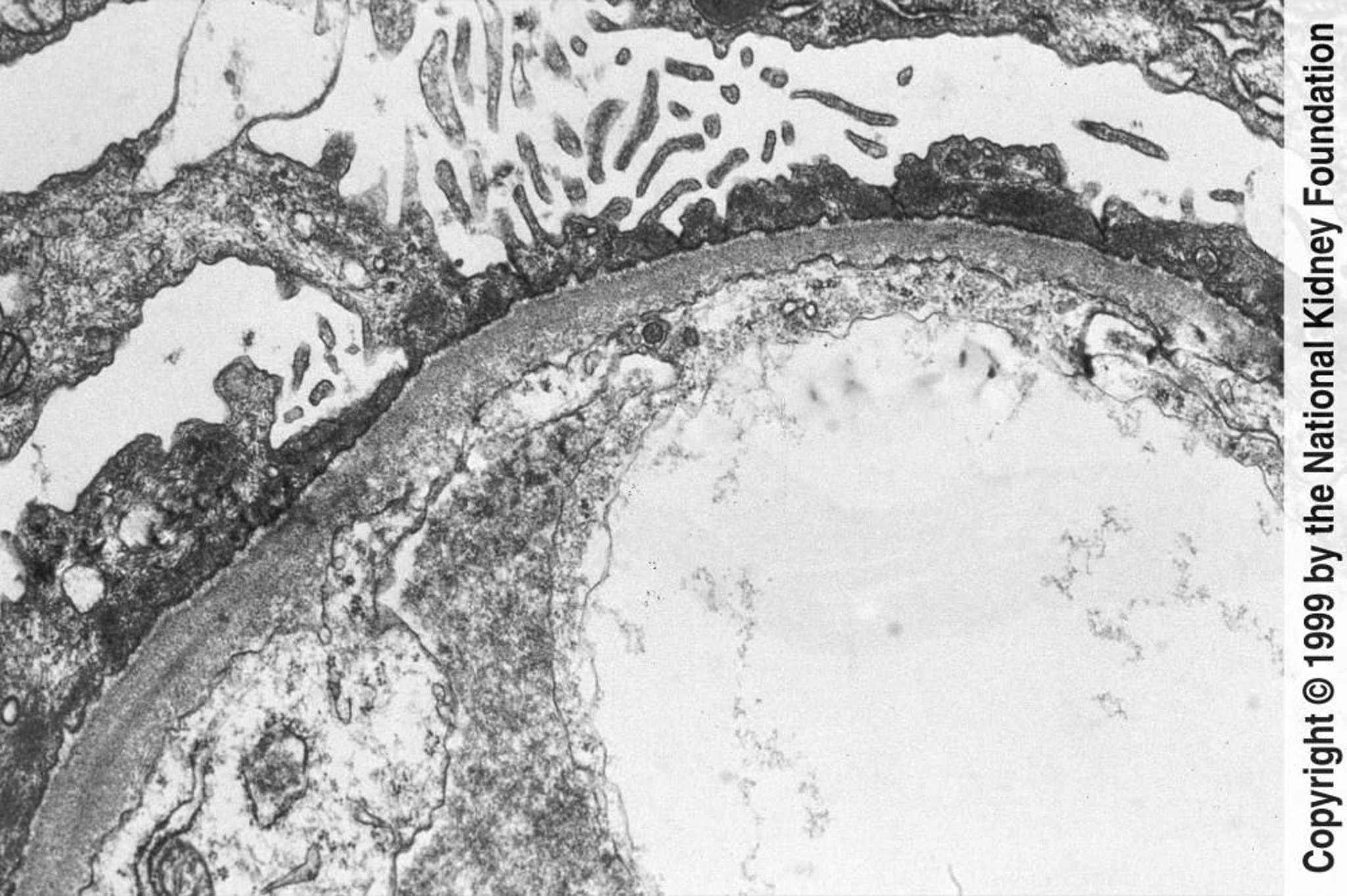
Minimal-Change-Glomerulonephritis
In der Transmissionselektronenmikroskopie ist eine diffuse Auslöschung der Podozyten zu erkennen (×800).
Image provided by Agnes Fogo, MD, and the American Journal of Kidney Diseases' Atlas of Renal Pathology (see www.ajkd.org).
In diesen Themen
